症例詳細
Case detail
虫歯をランクの高い材料で治したい セラミックインレー
治療症例の内容
- 診療科目
- 治療カテゴリ
- 担当医
- 高悠莉(ドクタープロフィール)
- 患者様
- 30代男性
- 治療期間
- 1ヶ月
- 治療回数
- 2-5回
- 治療計画
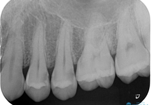
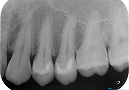
- ホワイトニング希望で来院された患者様ですが、口腔内をチェックしたところ2歯虫歯が見つかりました。無症状ではありましたが、レントゲン画像でも歯髄(歯の神経が内蔵されている場所)近くまでの広がりが確認できました。ランクの高い材料で治療したいとのご要望もあり、変形の少ないシリコン材料を使用した、生体親和性の良いセラミックインレーにて治療を完了しました。術後も症状等なく経過良好です。
- 費用(概算)
- 154,000円(税込)費用は治療当時の料金となります
セラミック素材の利点について
ひずみによる変形が少ない、シリコン系の材料で型を採る為、出来上がった修復物の精度にこだわることが可能になります。また、セラミックの素材自体が変質することはなく、経年劣化による修復物自体の変色や匂いの原因となることは考えにくいとされています。更に、プラスチックと比較し表面が滑沢であるため虫歯の原因となる細菌塊であるプラークが付着しにくく、二次虫歯発生を予防します。
セラミック治療の注意事項(リスク・副作用など)
- 天然歯を削ります
- 硬い素材は天然歯を傷つけてしまう場合があります
- かみ合わせや歯ぎしりが強すぎる方はセラミックが割れてしまう可能性があります
- 自費診療(保険適用外治療)となります
当サイトの内容、テキスト、画像等の無断転載、複製、複写、盗用を固く禁じます。






