症例詳細
Case detail
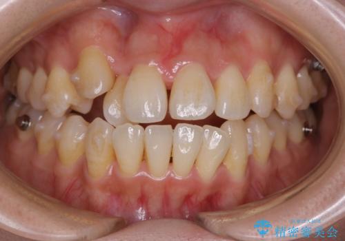
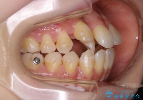
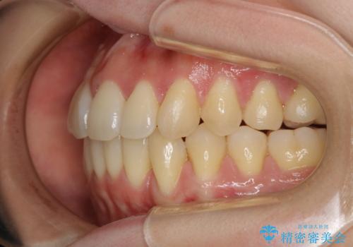
本来は外科ケース:インビザラインで前歯の重度がたつきとオープンバイトの改善
治療症例の内容
- 診療科目
- 担当医
- 患者様
- 20代女性
- 矯正装置
- インビザラインFULL
- 治療期間
- 4年
- 治療回数
- 30回以上
- 治療計画
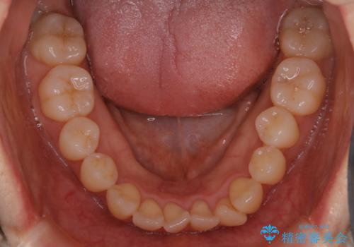
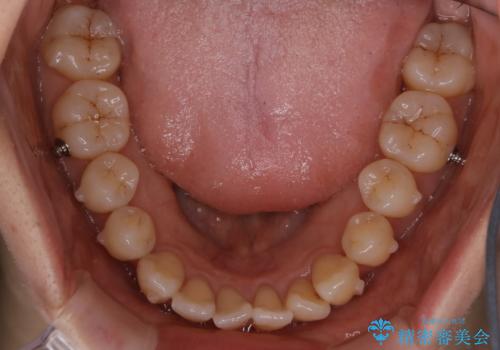
- 前歯のがたつきが気になるとご相談にいらした患者様です。矯正検査の結果、骨格的なズレが大きかったため当初の治療計画では外科矯正をご案内しました。ご本人が手術を望んでおらず、可能な限りの改善を目指すことを目標に治療を開始しました。
- 費用(概算)
- 100万円(税込み)費用は治療当時の料金となります
治療について
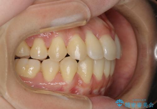
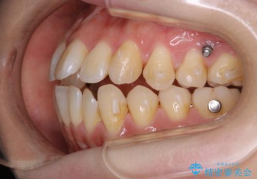
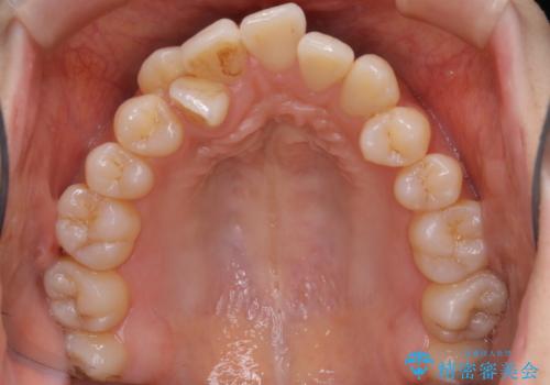
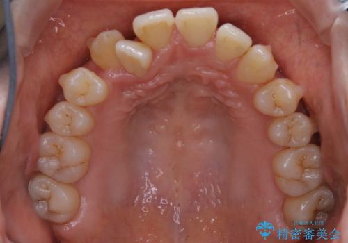
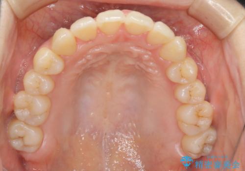
元々の骨格的なズレが大きかったため、当初は外科矯正をご提案していました。患者様の強いご希望により、非外科的な処置のみで可及的な改善を目指すことを目標に治療を行いました。以前よりもしっかり噛めるようになり、見た目も劇的に改善したことで大変ご満足いただけました。
マウスピース矯正の注意事項(リスク・副作用など)
- 口腔内・歯並びの状態によっては対応できない場合があります
- マウスピース型矯正装置の長時間装着(1日20時間以上)が必須です
- 治療計画通りに進めるためには、患者様の意志が重要になります
- 矯正治療後の保定が不十分だと後戻り(元の位置に戻ろうとする動き)をします
- 薬機法対象外の矯正歯科装置のため医薬品副作用被害救済制度の対象外となる場合があります
- 自費診療(保険適用外)となります
当サイトの内容、テキスト、画像等の無断転載、複製、複写、盗用を固く禁じます。





















