症例詳細
Case detail
【ハイブリッドインレー】定期検診で見つかった虫歯!
治療症例の内容
- 診療科目
- 治療カテゴリ
- 担当医
- 河野豊嘉(ドクタープロフィール)
- 患者様
- 30代男性
- 治療期間
- 1ヶ月
- 治療回数
- 2-5回
- 治療計画
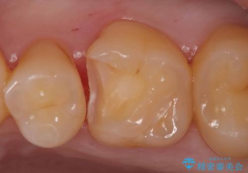
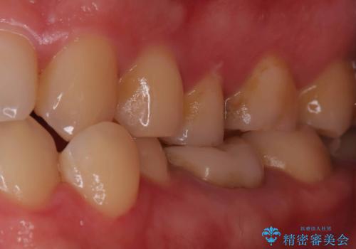
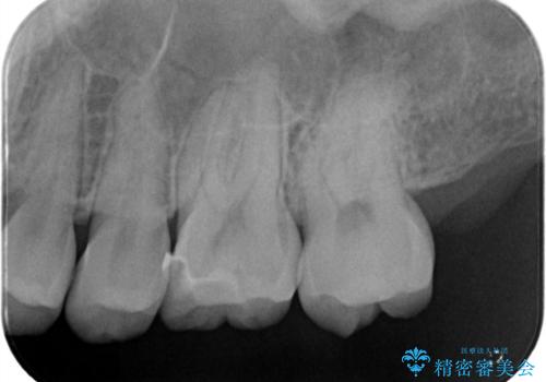
- 定期検診で虫歯が見つかった患者様です。ハイブリッドインレーで治療を行いました。
- 費用(概算)
- 55,000円費用は治療当時の料金となります
治療について
定期検診で虫歯が見つかった患者様です。
ハイブリッドインレーで治療を行いました。
ハイブリッドインレーはセラミックインレーとは違い、セラミックとプラスチックの混合物です。保険治療の材料よりは優れていますが、プラスチックが混ざっている分、セラミックインレーには劣ります。型取りの材料はセラミックインレーの時と同様のシリコン印象材を使用しています。
セラミック治療の注意事項(リスク・副作用など)
- 天然歯を削ります
- 硬い素材は天然歯を傷つけてしまう場合があります
- かみ合わせや歯ぎしりが強すぎる方はセラミックが割れてしまう可能性があります
- 自費診療(保険適用外治療)となります
当サイトの内容、テキスト、画像等の無断転載、複製、複写、盗用を固く禁じます。







