症例詳細
Case detail
【歯根端切除術】根っこの先端の病気が治らない
治療症例の内容
- 診療科目
- 治療カテゴリ
- 担当医
- 河口智英(ドクタープロフィール)
- 患者様
- 30代女性
- 治療期間
- 1日
- 治療回数
- 1回
- 治療計画
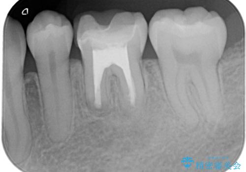
- 昔他院で根管治療を行った歯の病気が再発したことを主訴に来院されました。
レントゲンにて根尖に病変を認め、根尖性歯周炎の診断のもと以下の治療をご提案しました。
1、再根管治療を行い、3ヶ月以上経過を待ち、治癒しなければ外科的歯内療法を行う。
2、外科的歯内療法を行う。
以前の根管治療の質が不明なこと、補綴処置のやりかえにメリットがあることから、1の選択肢をお勧めしましたが、費用対効果の面を患者様と相談し今回は外科的歯内療法で治療することとしました。
- 費用(概算)
- 15万円費用は治療当時の料金となります
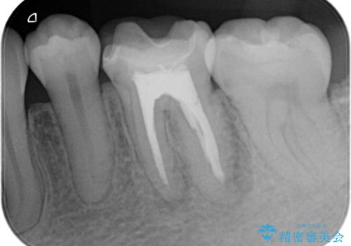
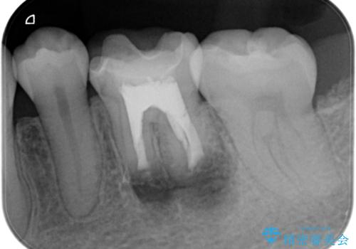
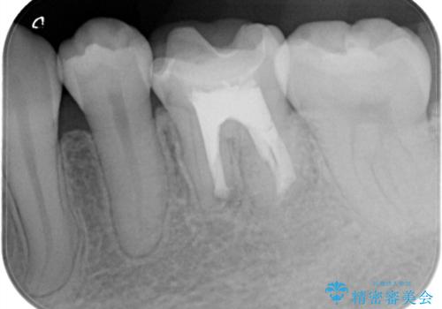
治療について
外科的歯内療法は根尖性歯周炎の治療における選択肢の一つです。
手術が必要ですが、通常の根管治療では解決できない解剖学的要因も解決できる可能性があります。
外科処置の注意事項(リスク・副作用など)
- 外科手術のため、術後に出血、痛みや腫れ、違和感を伴います
- 口腔内の状態によっては適応できないことがあります
根管治療の注意事項(リスク・副作用など)
- 根管治療により類似の全ての症例の問題が解決するわけではなく、症例はあくまでも一例です
- 根管治療により痛みや腫れがひかない事や、術後に痛みや腫れが生じる事、治療によるファイル破折やパーフォレーションなどの偶発症、術後の歯根破折を生じる可能性もあります
- 自費診療(保険適用外)となります
当サイトの内容、テキスト、画像等の無断転載、複製、複写、盗用を固く禁じます。










