症例詳細
Case detail
【セラミッククラウン】【ブリッジ】奥歯の奥側からよく汚れが出てくる
治療症例の内容
- 診療科目
- 治療カテゴリ
- 担当医
- 町田睦月(ドクタープロフィール)
- 患者様
- 30代男性
- 治療期間
- 3ヶ月
- 治療回数
- 2-5回
- 治療計画
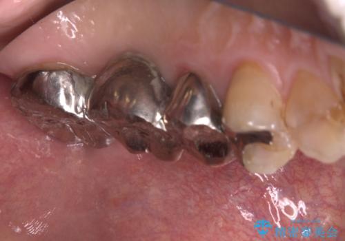
- 主訴:左上一番奥の歯の奥側にフロスを沿わせてこするといつも汚れがでてくる。
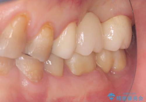
左上に保険適用の⑤ 6 ⑦ブリッジが入っており、7番目の歯と被せものとの境目に段差があり、そこに汚れが停滞したいたため適合の良いオールセラミッククラウンブリッジでのやり替えとなりました。
- 費用(概算)
- 396,000円費用は治療当時の料金となります
治療について
左上7番遠心マージン不適を認め、そこに汚れが停滞していたためやり替えをおすすめし、汚れが付着しずらく審美性に優れたセラミッククラウンブリッジでのやり替えとなりました。
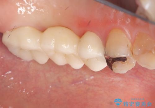
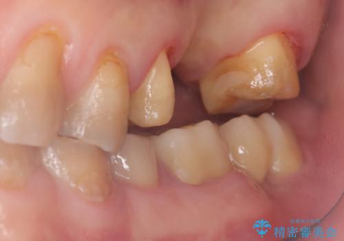
保険適用のメタルインレーを除去したところ、ポンティック部の過度な加圧によって歯肉が強く発赤していたため、一度仮歯に置き換え歯肉の治りを待った後、適切な加圧強さのオールセラミッククラウンブリッジをセットしています。
セラミック治療の注意事項(リスク・副作用など)
- 天然歯を削ります
- 硬い素材は天然歯を傷つけてしまう場合があります
- かみ合わせや歯ぎしりが強すぎる方はセラミックが割れてしまう可能性があります
- 自費診療(保険適用外治療)となります
当サイトの内容、テキスト、画像等の無断転載、複製、複写、盗用を固く禁じます。














