症例詳細
Case detail
狭小な歯槽骨に対するインプラント治療
治療症例の内容
- 診療科目
 
- 治療カテゴリ
 
- 担当医
 - 大元洋佑(ドクタープロフィール)
 
- 患者様
 - 60代女性
 
- 治療期間
 - 9ヶ月
 
- 治療回数
 - 5-10回
 
- 治療計画
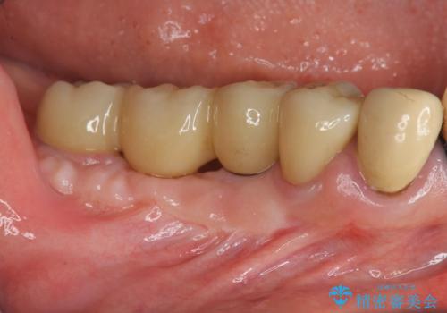
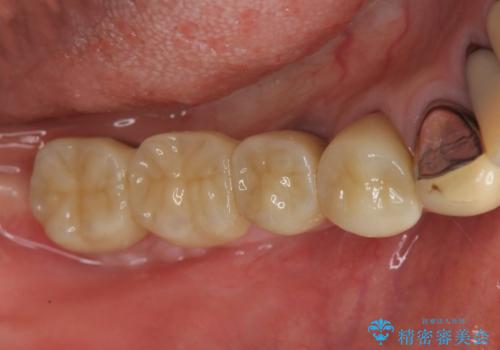
 - 歯を失い噛めないこと、骨の幅が狭く他院でインプラント治療が難しいと断られ、当院でのインプラント治療が可能かどうか相談来院されました。
骨の造成、角化歯肉の移植を行いインプラント周囲の環境を整えた治療を計画します。 
- 費用(概算)
 - 99万円費用は治療当時の料金となります
 
治療について
遊離歯肉移植術(硬い歯ぐきのインプラント周囲への移植)を行ったことで、炎症に強く歯ブラシのしやすい環境をインプラント周囲に整えることができました。
インプラント治療の注意事項(リスク・副作用など)
- 外科手術のため、術後に痛みや腫れ、違和感を伴います
 - メンテナンスを怠ったり喫煙により、お口の中に大きな悪影響を及ぼすインプラント周囲炎等にかかる可能性があります
 - 糖尿病、肝硬変、心臓病等の場合、インプラント治療ができない可能性があります
 - 高血圧、貧血・不整脈等の場合、インプラント治療後に治癒不全を招く可能性があります
 - 自費診療(保険適用外治療)となります
 
当サイトの内容、テキスト、画像等の無断転載、複製、複写、盗用を固く禁じます。

                      
                                                          













