症例詳細
Case detail
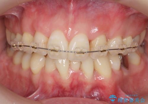
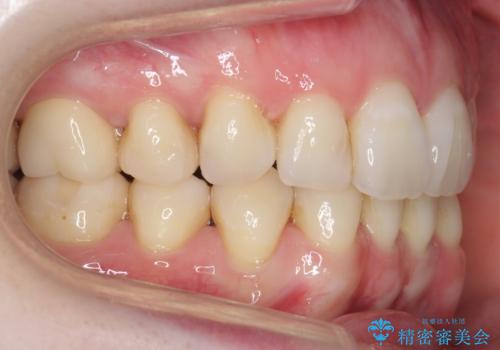
他院で3年以上かかると言われた八重歯を半年できれいに
治療症例の内容
- 担当医
- 井上季実子(ドクタープロフィール)
- 患者様
- 30代女性
- 矯正装置
- インビザライン
- 治療期間
- 6ヶ月
- 治療回数
- 5-10回
- 治療計画
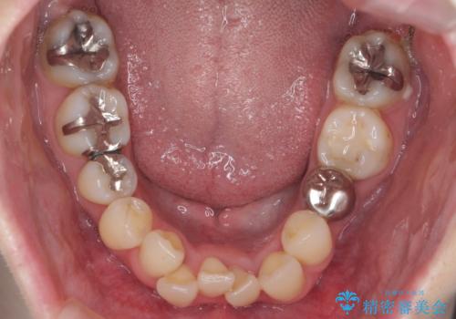
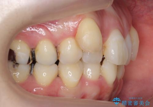
- 八重歯を主訴に来院。他院で全体ワイヤー矯正、4本抜歯で3-4年かかるかもしれないと説明を受けたとのこと。
そこまで時間がかかるのはどうかな、でも八重歯は気になるというご相談でした。
以前横浜桜木町歯科で私の方で矯正治療をした方のご紹介で来られました。
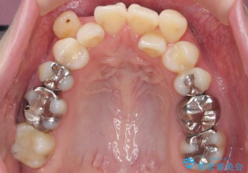
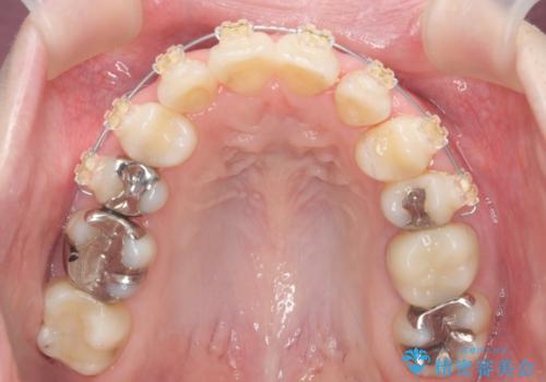
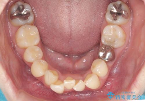
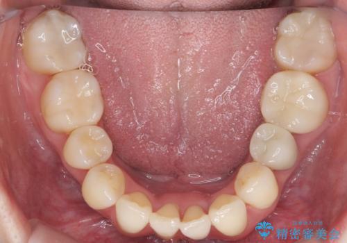
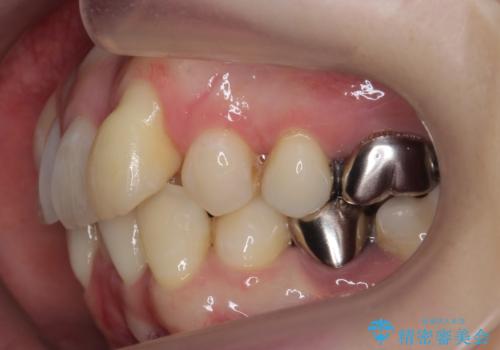
八重歯の部分は抜歯し、奥に入っていた前歯を前に移動させました。
下の前歯は生まれつき3本だったため、さらに2本下を抜くとなると3本少なくなってしまうため、下の前歯を一本お取りして最小限の抜歯としました。
上にはワイヤー部分矯正を行った後、インビザラインでマウスピース矯正を行っています。
- 費用(概算)
- 104.5万円(矯正治療のみ)費用は治療当時の料金となります
治療について
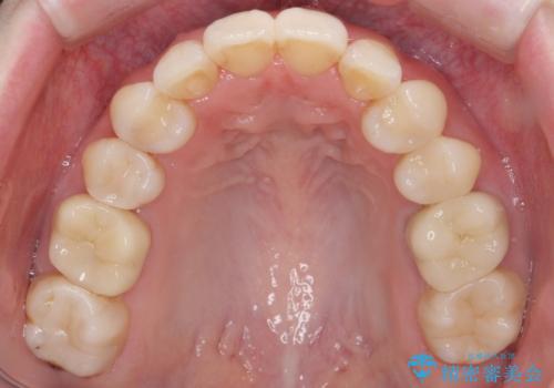
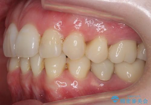
矯正治療後にしっかり全体の虫歯治療も行い、とても良い状態にできたと思います。
犬歯を抜いたとしても、矯正治療を短期間で終わらせて歯に負担がかからないようにし、虫歯治療その分しっかり行うのもメリットがあるのではないかと思います。
今回は特に左上の犬歯は歯肉退縮して根が露出していたのもあり、抜歯をお勧めしました。
ワイヤー矯正の注意事項(リスク・副作用など)
- 治療中は違和感や痛みが起こることがあります
- 症状により、抜歯が必要な場合があります
- 治療中は歯磨きがしにくくなるため、虫歯や歯周病になりやすくなります
- 矯正治療後の保定が不十分だと後戻り(元の位置に戻ろうとする動き)をします
- 自費診療(保険適用外)となります
マウスピース矯正の注意事項(リスク・副作用など)
- 口腔内・歯並びの状態によっては対応できない場合があります
- マウスピース型矯正装置の長時間装着(1日20時間以上)が必須です
- 治療計画通りに進めるためには、患者様の意志が重要になります
- 矯正治療後の保定が不十分だと後戻り(元の位置に戻ろうとする動き)をします
- 薬機法対象外の矯正歯科装置のため医薬品副作用被害救済制度の対象外となる場合があります
- 自費診療(保険適用外)となります
当サイトの内容、テキスト、画像等の無断転載、複製、複写、盗用を固く禁じます。





















