症例詳細
Case detail
【セラミックインレー】海外に引っ越す前にキレイで丈夫な歯にしたい
治療症例の内容
- 診療科目
- 治療カテゴリ
- 担当医
- 榊原康平(ドクタープロフィール)
- 患者様
- 30代男性
- 治療期間
- 1ヶ月
- 治療回数
- 2-5回
- 治療計画
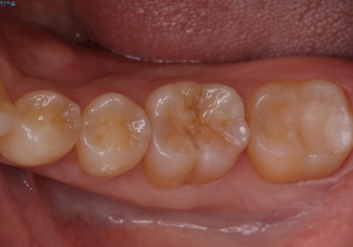
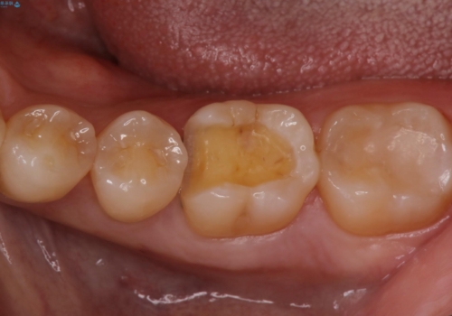
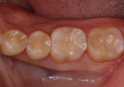
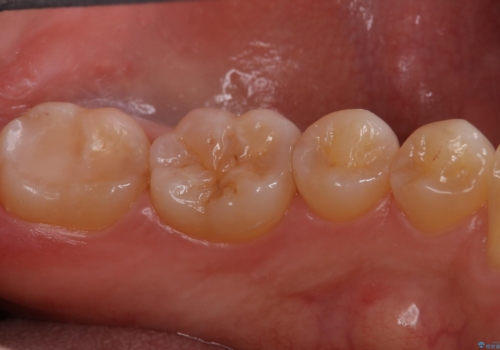
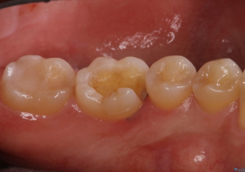
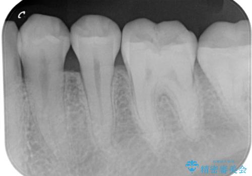
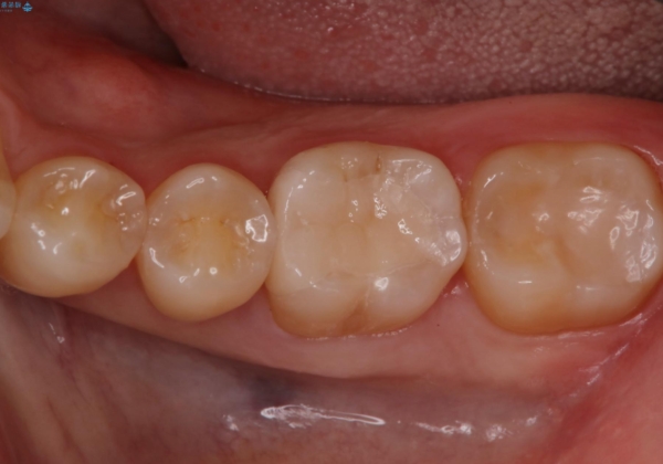
- 下の奥歯が黒いことが気になり来院された患者様です。
レントゲンなどから隣接面にも、う蝕があることが判明しました。
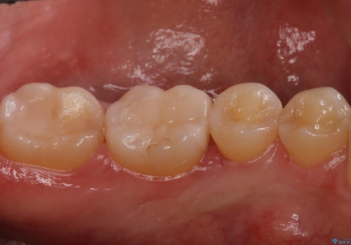
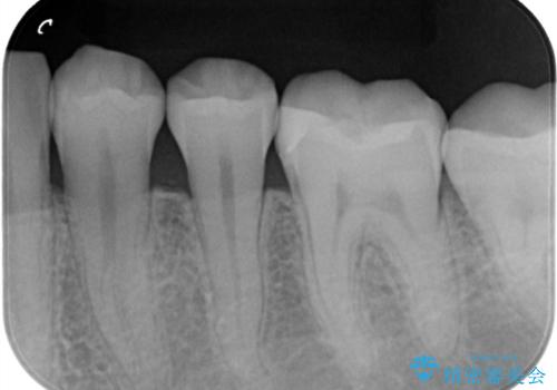
海外に引っ越す予定があり、見ため(審美性)強度ともに良い被せ物を希望されたため、セラミックインレーにて治療を行いました。
- 費用(概算)
- 77,000円費用は治療当時の料金となります
治療について
一部歯に保険治療で使用されている材料が劣化していたため、う蝕と一緒に取り除いて劣化の少ないセラミックに置き換わりました。
セラミック治療の注意事項(リスク・副作用など)
- 天然歯を削ります
- 硬い素材は天然歯を傷つけてしまう場合があります
- かみ合わせや歯ぎしりが強すぎる方はセラミックが割れてしまう可能性があります
- 自費診療(保険適用外治療)となります
当サイトの内容、テキスト、画像等の無断転載、複製、複写、盗用を固く禁じます。








