症例詳細
Case detail
フロス通したら詰め物が取れた
治療症例の内容
- 診療科目
- 治療カテゴリ
- 担当医
- 町田睦月(ドクタープロフィール)
- 患者様
- 30代女性
- 治療期間
- 1ヶ月
- 治療回数
- 2-5回
- 治療計画
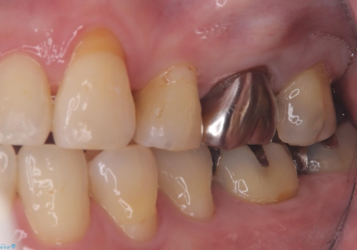
- 主訴:フロスを通したら、詰め物が取れた。適合の良いものを入れたい。
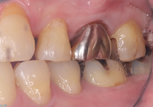
保険適用のメタルインレーが脱離しており、適合重視・咬合力が強いことからゴールドインレーでのやり替えとなりました。
- 費用(概算)
- 77,000円費用は治療当時の料金となります
治療について
フロスを通しインレーが脱離したことから、インレーと歯質との境に段差(適合不良)があった可能性があり、適合の良さや咬合力による補綴物の破折リスクを考慮し、ゴールドインレーでのやり替えとなりました。
PGA(ゴールド)クラウン、インレーの注意事項(リスク・副作用など)
- インレーおよびクラウンは脱離するリスクがあります
- 形成量はセラミックより少ないですが、歯の形成、修復後に歯に症状が出ることがあります
- 自費診療(保険適用外治療)となります
当サイトの内容、テキスト、画像等の無断転載、複製、複写、盗用を固く禁じます。











