症例詳細
Case detail
【セラミックインレー】プラスチックの詰め物をセラミックにしたい
治療症例の内容
- 診療科目
- 治療カテゴリ
- 担当医
- 町田睦月(ドクタープロフィール)
- 患者様
- 20代女性
- 治療期間
- 1ヶ月
- 治療回数
- 2-5回
- 治療計画
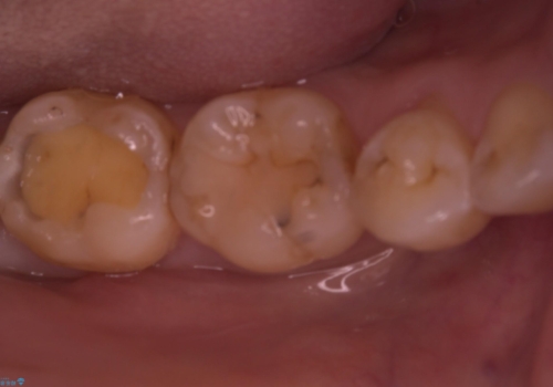
- 主訴:昔詰めたプラスチックと歯の間が虫歯になっていると言われた
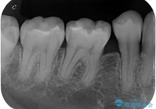
左下7番咬合面にコンポジットレジン修復されてり、経年劣化による着色や歯質との境目にう蝕を認め、セラミックインレーでのやり替えとなりました。
- 費用(概算)
- 77,000円費用は治療当時の料金となります
治療について
左下7番咬合面にコンポジットレジン修復されてり、経年劣化による着色や歯質との境目にう蝕を認めました。
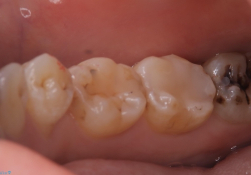
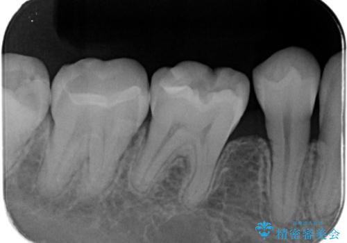
コンポジットレジンとセラミックの物性的特徴を説明し、セラミックインレーでのやり替えとなりました。
セラミック治療の注意事項(リスク・副作用など)
- 天然歯を削ります
- 硬い素材は天然歯を傷つけてしまう場合があります
- かみ合わせや歯ぎしりが強すぎる方はセラミックが割れてしまう可能性があります
- 自費診療(保険適用外治療)となります
当サイトの内容、テキスト、画像等の無断転載、複製、複写、盗用を固く禁じます。







