症例詳細
Case detail
【セラミックインレー】詰め物と歯の境目に汚れが溜まる
治療症例の内容
- 診療科目
- 治療カテゴリ
- 担当医
- 町田睦月(ドクタープロフィール)
- 患者様
- 40代女性
- 治療期間
- 1ヶ月
- 治療回数
- 2-5回
- 治療計画
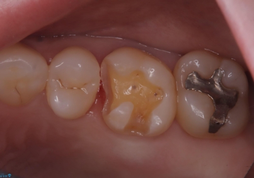
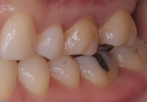
- 主訴:詰め物と歯の境目によごれがいつも溜まっている。フロスを通すと引っかかる。
保険適用のメタルインレーと歯質の境目が、歯質が欠けてしまったのか大きなくぼみ汚れが停滞しやすい状態になっていました。歯冠色材料でのやり替えを希望されたため、セラミックインレーでのやり替えとなりました。
- 費用(概算)
- 77,000円費用は治療当時の料金となります
治療について
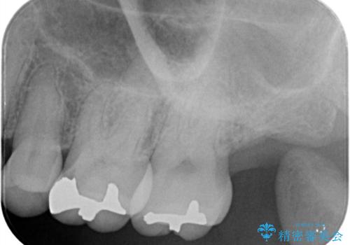
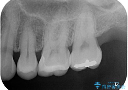
左上6番に入っている保険適応のメタルインレーと歯質との境目(近心側室エリア)に不適部位を認め、そのくぼみに汚れが停滞しやすい状態となっていました。
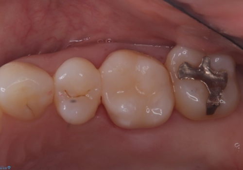
適合性・審美性を考慮し、セラミックインレーでのやり替えとなりました。
セラミック治療の注意事項(リスク・副作用など)
- 天然歯を削ります
- 硬い素材は天然歯を傷つけてしまう場合があります
- かみ合わせや歯ぎしりが強すぎる方はセラミックが割れてしまう可能性があります
- 自費診療(保険適用外治療)となります
当サイトの内容、テキスト、画像等の無断転載、複製、複写、盗用を固く禁じます。










