症例詳細
Case detail
他院で虫歯と言われた キレイでみがきやすい被せ物を入れたい
治療症例の内容
- 診療科目
- 治療カテゴリ
- 担当医
- 榊原康平(ドクタープロフィール)
- 患者様
- 30代女性
- 治療期間
- 1ヶ月
- 治療回数
- 2-5回
- 治療計画
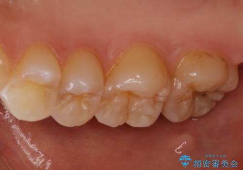
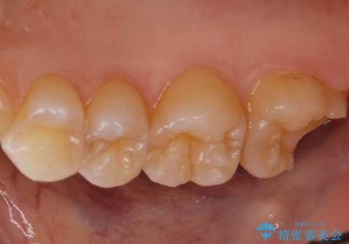
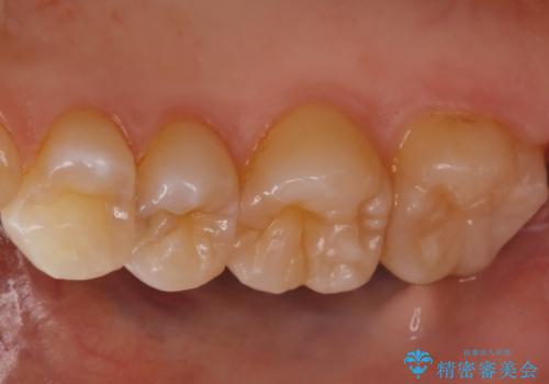
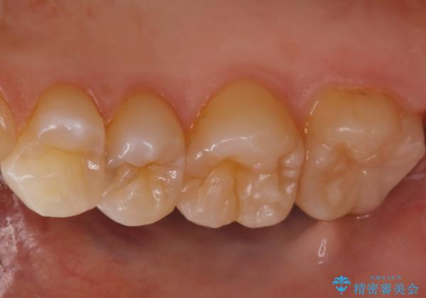
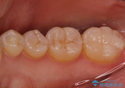
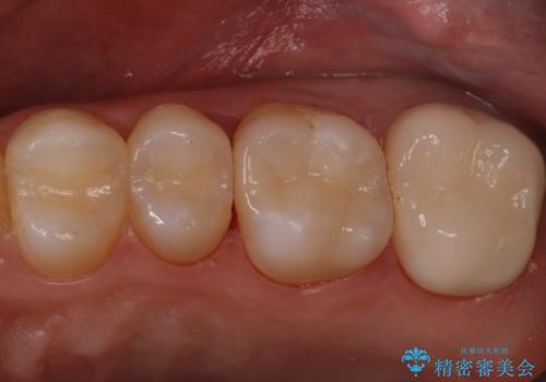
- 他院にて虫歯を指摘され、セカンドオピニオンを希望し当院へ来院されました。以前より磨きずらさと舌感の悪さは自覚していたそうです。清掃性、機能性に優れたセラミックインレーにて治療をすることとなりました。
- 費用(概算)
- 77,000円費用は治療当時の料金となります
治療について
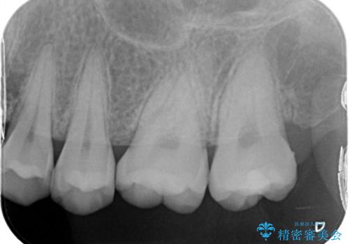
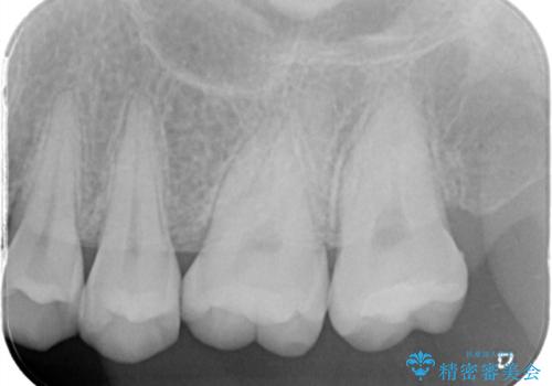
レントゲンから昔詰めた保険の詰め物が入っていることが確認できました。詰め物と歯の隙間が虫歯になっていたためしっかり取り除き、適合の良いセラミックインレーを入れました。
セラミック治療の注意事項(リスク・副作用など)
- 天然歯を削ります
- 硬い素材は天然歯を傷つけてしまう場合があります
- かみ合わせや歯ぎしりが強すぎる方はセラミックが割れてしまう可能性があります
- 自費診療(保険適用外治療)となります
当サイトの内容、テキスト、画像等の無断転載、複製、複写、盗用を固く禁じます。





