症例詳細
Case detail
昔治した歯の形が気になる セラミックインレーでキレイな歯に!
治療症例の内容
- 診療科目
- 治療カテゴリ
- 担当医
- 榊原康平(ドクタープロフィール)
- 患者様
- 30代女性
- 治療期間
- 1ヶ月
- 治療回数
- 2-5回
- 治療計画
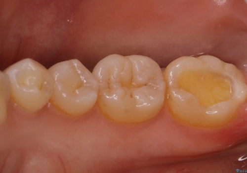
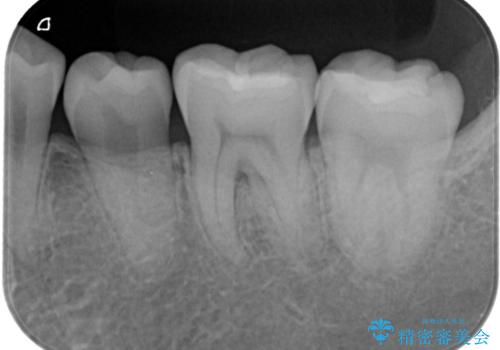
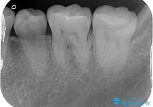
- 昔保険で治療した詰め物の形をずっと気にされていた患者様です。また下の歯なのでお口を開けると見えてしまうことを気にされていました。白く丈夫な被せ物を奥歯に入れたいと希望されたため、セラミックインレーにて治療いたしました。
- 費用(概算)
- 77,000円費用は治療当時の料金となります
治療について
保険でよく使用されるコンポジットレジンが詰めてありました。時間が経つと劣化しやすい材質なため全て取り除き、形を整えてセラミックインレーを被せました。キレイな歯の形を手に入れることができ、ご満足いただけました。
セラミック治療の注意事項(リスク・副作用など)
- 天然歯を削ります
- 硬い素材は天然歯を傷つけてしまう場合があります
- かみ合わせや歯ぎしりが強すぎる方はセラミックが割れてしまう可能性があります
- 自費診療(保険適用外治療)となります
当サイトの内容、テキスト、画像等の無断転載、複製、複写、盗用を固く禁じます。





