症例詳細
Case detail
歯がしみる セラミックインレーで改善
治療症例の内容
- 診療科目
- 治療カテゴリ
- 担当医
- 榊原康平(ドクタープロフィール)
- 患者様
- 40代女性
- 治療期間
- 1ヶ月
- 治療回数
- 2-5回
- 治療計画
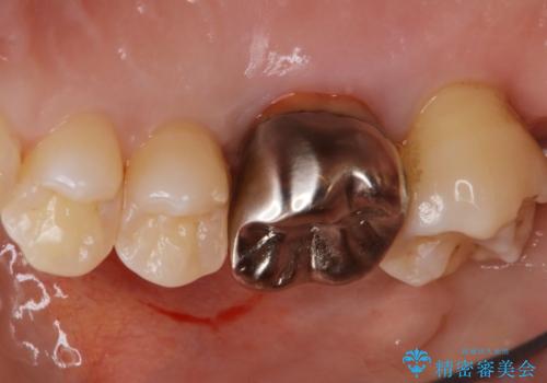
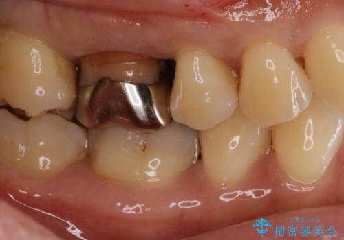
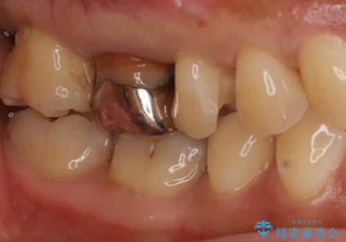
- 右上4、5の歯がしみるのを治したいという主訴で来院されました。精査の結果隣接面う蝕と診断し、適合がよく見ためも良いセラミックインレーでの治療を行いました。
- 費用(概算)
- 154,000円費用は治療当時の料金となります
治療について
セラミックインレーを入れた後は歯がしみることはなくなり、白く丈夫な被せ物が入り満足いただけました。
セラミック治療の注意事項(リスク・副作用など)
- 天然歯を削ります
- 硬い素材は天然歯を傷つけてしまう場合があります
- かみ合わせや歯ぎしりが強すぎる方はセラミックが割れてしまう可能性があります
- 自費診療(保険適用外治療)となります
当サイトの内容、テキスト、画像等の無断転載、複製、複写、盗用を固く禁じます。











