症例詳細
Case detail
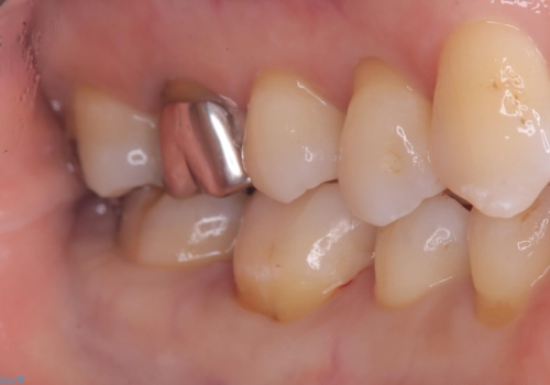
【セラミックインレー】歯と歯の間に物がよく詰まる
治療症例の内容
- 診療科目
- 治療カテゴリ
- 担当医
- 町田睦月(ドクタープロフィール)
- 患者様
- 50代女性
- 治療期間
- 治療回数
- 2-5回
- 治療計画
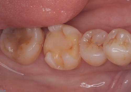
- 主訴:右下6番目と7番目の歯の間に食べかすがしょっちゅう詰まる
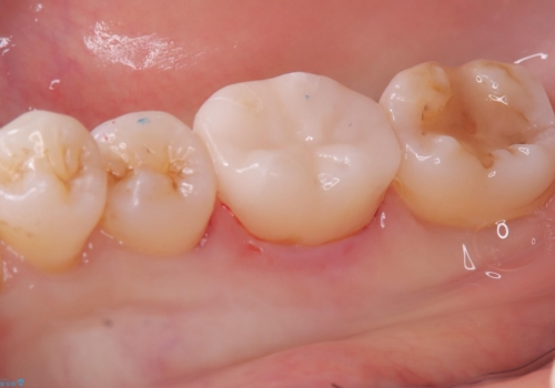
コンタクトの再現と歯冠色補綴物へのやり替えを目的とし、セラミックインレーでの治療となりました。
- 費用(概算)
- 77,000円費用は治療当時の料金となります
治療について
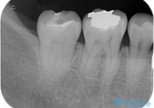
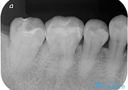
歯間に食渣がつまるのをどうにかしたいとの主訴のもと、治療を開始しました。フロスを通してみると、コンタクトは無く0.25mm程のスペースがありました。
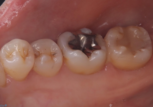
メタルインレーを歯冠色のものに変えたいという希望もあったため、セラミックインレーでのやり替えによるコンタクトの再現をしています。
また、近心側にう蝕が認められたため窩洞の範囲を元々入っていたメタルインレー窩洞よりも広げています。
セラミックインレーセット時ラバーダム防湿を行っています。
セラミック治療の注意事項(リスク・副作用など)
- 天然歯を削ります
- 硬い素材は天然歯を傷つけてしまう場合があります
- かみ合わせや歯ぎしりが強すぎる方はセラミックが割れてしまう可能性があります
- 自費診療(保険適用外治療)となります
当サイトの内容、テキスト、画像等の無断転載、複製、複写、盗用を固く禁じます。










