症例詳細
Case detail
樋状根(といじょうこん)の根管治療
治療症例の内容
- 診療科目
- 治療カテゴリ
- 担当医
- 河口智英(ドクタープロフィール)
- 患者様
- 40代女性
- 治療期間
- 1ヶ月
- 治療回数
- 2-5回
- 治療計画
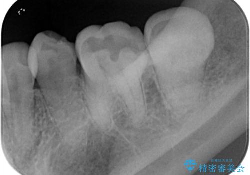
- 昨夜から、寝れないぐらいズキズキ痛む歯があることを主訴に来院されました。
歯髄診にて患歯を特定し、不可逆性歯髄炎の診断のもと治療を行っています。
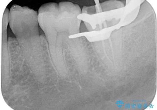
治療中には過去に修復された材料の下に虫歯を認めましたが、破折線はみとめられませんでした。
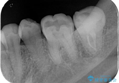
治療後すぐに症状は改善され、今後クラウン修復を行う予定です。
- 費用(概算)
- 12万円費用は治療当時の料金となります
治療について
根管治療は処置後、2,3日は痛むことがあります。
根管治療の注意事項(リスク・副作用など)
- 根管治療により類似の全ての症例の問題が解決するわけではなく、症例はあくまでも一例です
- 根管治療により痛みや腫れがひかない事や、術後に痛みや腫れが生じる事、治療によるファイル破折やパーフォレーションなどの偶発症、術後の歯根破折を生じる可能性もあります
- 自費診療(保険適用外)となります
当サイトの内容、テキスト、画像等の無断転載、複製、複写、盗用を固く禁じます。









