症例詳細
Case detail
失った奥歯を、インプラント治療で機能回復
治療症例の内容
- 担当医
- 大元洋佑(ドクタープロフィール)
- 患者様
- 50代男性
- 治療期間
- 8ヶ月
- 治療回数
- 5-10回
- 治療計画
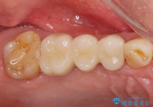
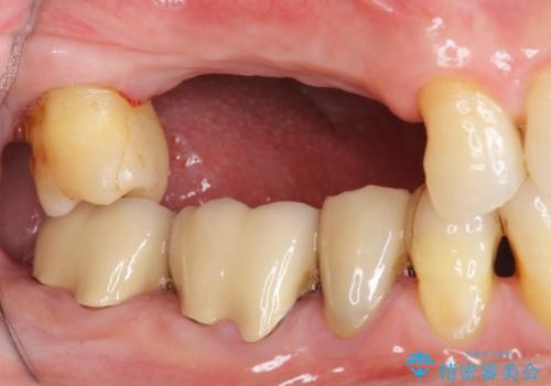
- 右上の奥歯を失ってしまい、「全然モノが噛めない、しっかりと噛めるようになりたい。」
、と入れ歯ではなくインプラント治療を希望され来院されました。
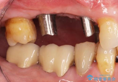
3本の歯が失われた状態を、2本のインプラントで支えるブリッジでの咬合機能回復を計画します。
- 費用(概算)
- 150万円(インプラント×2・チタンカスタムアバットメント×2・ジルコニアクラウン×3・仮歯×3)費用は治療当時の料金となります
治療について
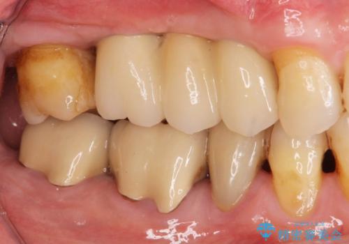
歯を失ってから長い期間が経過していたので、仮歯が入り咬合機能が回復できた際に大変喜んでいただくことができました。
インプラント治療の注意事項(リスク・副作用など)
- 外科手術のため、術後に痛みや腫れ、違和感を伴います
- メンテナンスを怠ったり喫煙により、お口の中に大きな悪影響を及ぼすインプラント周囲炎等にかかる可能性があります
- 糖尿病、肝硬変、心臓病等の場合、インプラント治療ができない可能性があります
- 高血圧、貧血・不整脈等の場合、インプラント治療後に治癒不全を招く可能性があります
- 自費診療(保険適用外治療)となります
当サイトの内容、テキスト、画像等の無断転載、複製、複写、盗用を固く禁じます。












