症例詳細
Case detail
【セラミックインレー】フロスを通すと血が出て臭う
治療症例の内容
- 診療科目
- 治療カテゴリ
- 担当医
- 町田睦月(ドクタープロフィール)
- 患者様
- 30代女性
- 治療期間
- 1ヶ月
- 治療回数
- 2-5回
- 治療計画
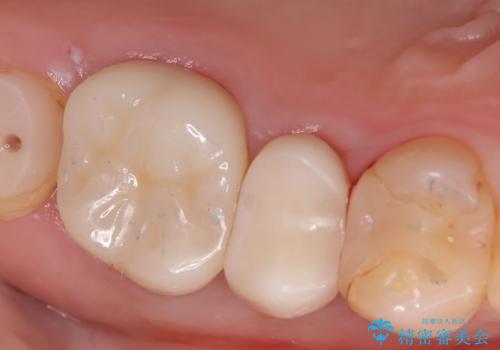
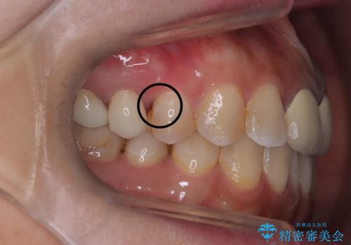
- 主訴:右上4番目と5番目の間にフロスを通すといつも出血し、たまに臭いもする
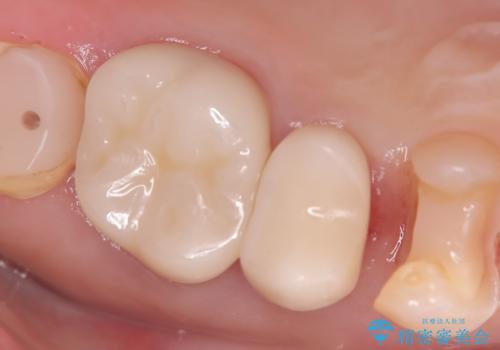
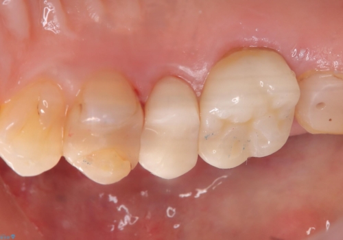
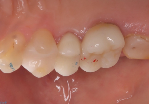
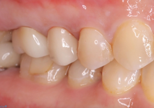
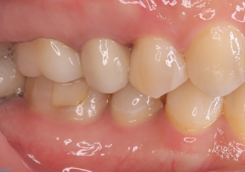
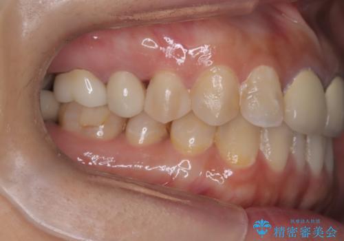
適合不良により汚れが溜りやすく歯肉が腫れている状態だったため、審美性を考慮しセラミックインレーでのやり替えとなりました。
- 費用(概算)
- 77,000円費用は治療当時の料金となります
治療について
「右上4番目と5番目の間にフロスを通すといつも出血し、たまに臭いもする」という主訴で来院されました。
右上4番に歯冠色インレーが入っており、遠心側室エリアのマージン不適を認め、そこに汚れが溜まりやすい状態となっていました。
現在入っているインレー・CR裏層を除去し、再度CR裏層・セラミックインレー形成しました。
セラミック治療の注意事項(リスク・副作用など)
- 天然歯を削ります
- 硬い素材は天然歯を傷つけてしまう場合があります
- かみ合わせや歯ぎしりが強すぎる方はセラミックが割れてしまう可能性があります
- 自費診療(保険適用外治療)となります
当サイトの内容、テキスト、画像等の無断転載、複製、複写、盗用を固く禁じます。













