症例詳細
Case detail
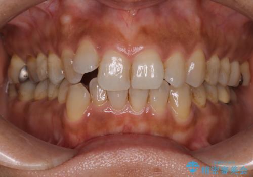
20代男性 ハーフリンガルによる抜歯矯正
治療症例の内容
- 診療科目
- 担当医
- 患者様
- 20代男性
- 矯正装置
- ハーフリンガル
- 治療期間
- 2年5ヶ月
- 治療回数
- 10-30回
- 治療計画
- 上下の歯のでこぼこと、出っ歯感を改善したいとの主訴で来院されました。
上下両側の前から4番目の抜歯をして治療をしていくこととなりました。
- 費用(概算)
- 約110万円費用は治療当時の料金となります
治療について
骨格的に上顎より下顎が後退しているため、少々上の前歯が内側に倒れこんでいる印象になった仕上がりとなっております。
来年の4月から就職とのことで、学生の間に矯正治療を終了でき満足されていました。
ワイヤー矯正の注意事項(リスク・副作用など)
- 治療中は違和感や痛みが起こることがあります
- 症状により、抜歯が必要な場合があります
- 治療中は歯磨きがしにくくなるため、虫歯や歯周病になりやすくなります
- 矯正治療後の保定が不十分だと後戻り(元の位置に戻ろうとする動き)をします
- 自費診療(保険適用外)となります
当サイトの内容、テキスト、画像等の無断転載、複製、複写、盗用を固く禁じます。

















