症例詳細
Case detail
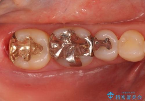
詰め物が外れた ゴールドインレーでの治療
治療症例の内容
- 診療科目
- 治療カテゴリ
- 担当医
- 岡田康成(ドクタープロフィール)
- 患者様
- 50代女性
- 治療期間
- 1ヶ月
- 治療回数
- 2-5回
- 治療計画
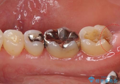
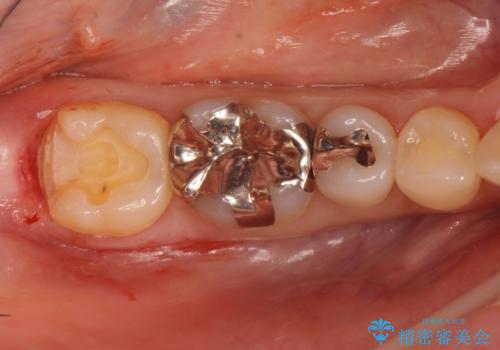
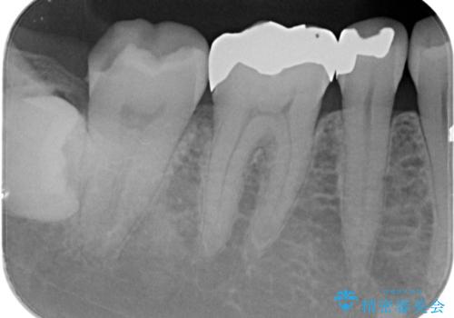
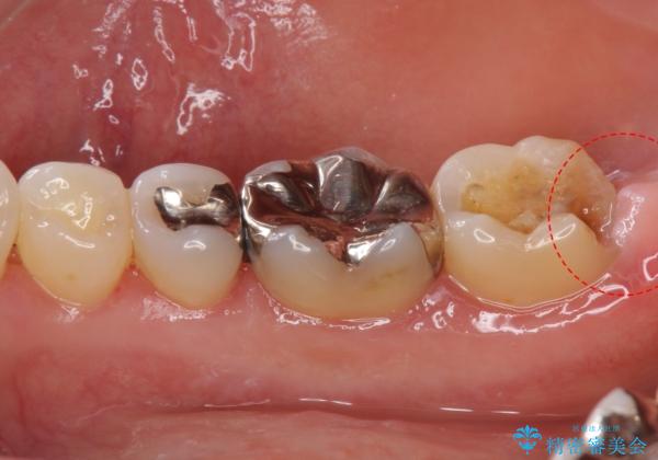
- 詰め物が外れたから作り直しをしたいとのことで来院されました。
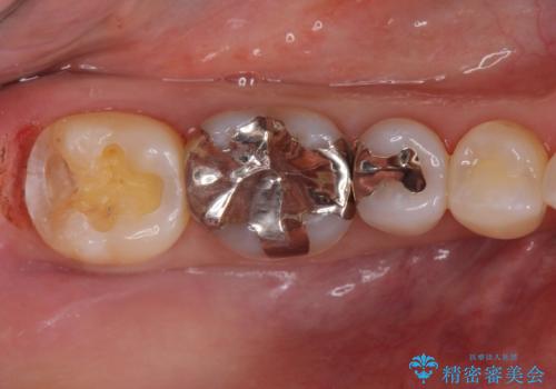
外れた状態で日にちが経過していたため、まわりの歯ぐきが歯の上に乗っかっている状態です。
歯ぐきの形を整えてから治療をしていきます。
- 費用(概算)
- 右下7 ゴールドインレー 77,000円費用は治療当時の料金となります
治療について
歯ぐきの形を整えることで精度の良い詰め物を入れることができました。
PGA(ゴールド)クラウン、インレーの注意事項(リスク・副作用など)
- インレーおよびクラウンは脱離するリスクがあります
- 形成量はセラミックより少ないですが、歯の形成、修復後に歯に症状が出ることがあります
- 自費診療(保険適用外治療)となります
当サイトの内容、テキスト、画像等の無断転載、複製、複写、盗用を固く禁じます。








