症例詳細
Case detail
奥歯の虫歯 セラミックインレーでの修復処置
治療症例の内容
- 診療科目
- 治療カテゴリ
- 担当医
- 岡田康成(ドクタープロフィール)
- 患者様
- 30代男性
- 治療期間
- 1ヶ月
- 治療回数
- 2-5回
- 治療計画
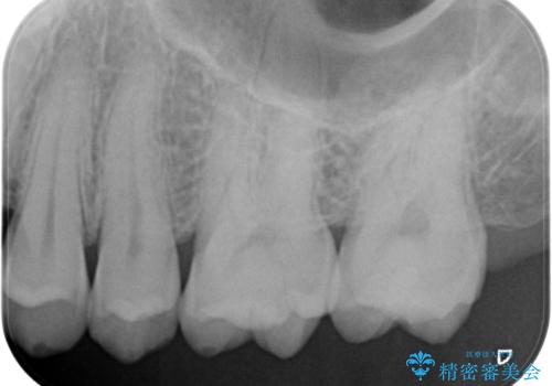
- 検査の結果、奥歯の咬む面に小さな虫歯が確認された患者様です。
虫歯を除去し、セラミックインレーでの修復処置を行います。
- 費用(概算)
- 左上7 セラミックインレー 77,000円費用は治療当時の料金となります
治療について
表面からは小さな虫歯かのように見えましたが、実際虫歯を取っていくとある程度の大きさがありました。
咬む面の溝は虫歯の好発部位となっています。気を付けて歯磨きができると良いです。
セラミック治療の注意事項(リスク・副作用など)
- 天然歯を削ります
- 硬い素材は天然歯を傷つけてしまう場合があります
- かみ合わせや歯ぎしりが強すぎる方はセラミックが割れてしまう可能性があります
- 自費診療(保険適用外治療)となります
当サイトの内容、テキスト、画像等の無断転載、複製、複写、盗用を固く禁じます。






