症例詳細
Case detail
二次う蝕が心配
治療症例の内容
- 診療科目
-
- 治療カテゴリ
- 担当医
- 町田睦月(ドクタープロフィール)
- 患者様
- 30代女性
- 治療期間
- 1ヶ月
- 治療回数
- 2-5回
- 治療計画
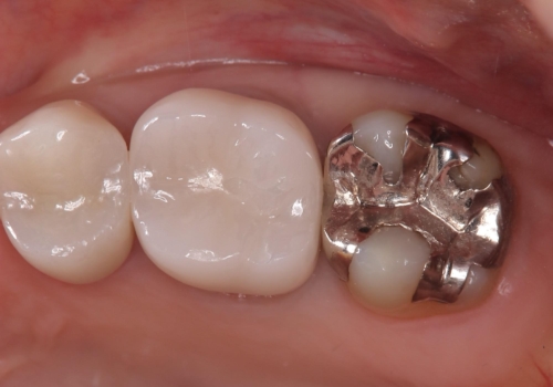
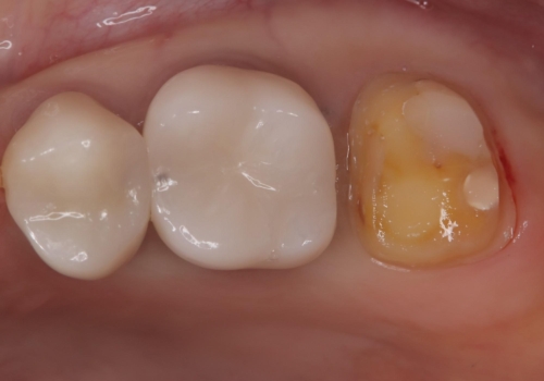
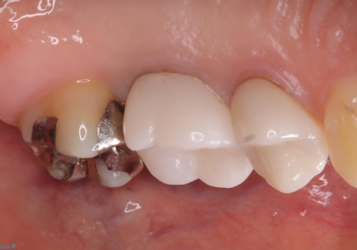
- 二次う蝕が心配という主訴で来院された患者さんです。
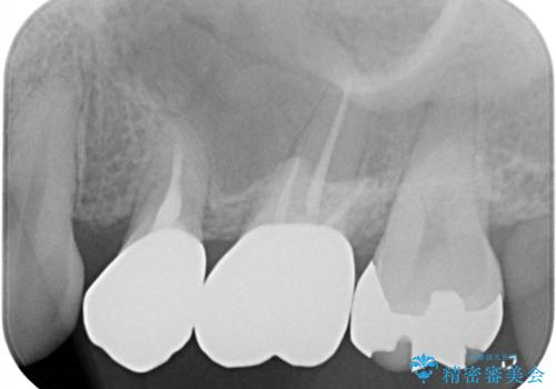
保険のメタルインレーは腐食しやすかったり、適合があまり良くなかったりで二次的にう蝕がインレー下で広がってしまうことが多々あります。
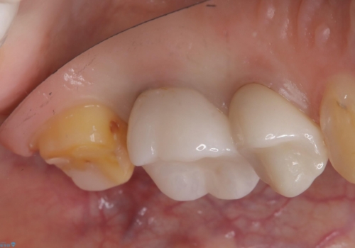
メタルインレーを除去したところ、残存歯質量が少なく破折のリスクを説明し、ゴールドクラウンでのやり替えとなりました。
- 費用(概算)
- 132,000円費用は治療当時の料金となります
治療について
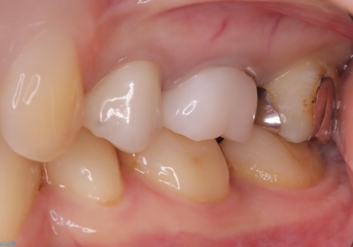
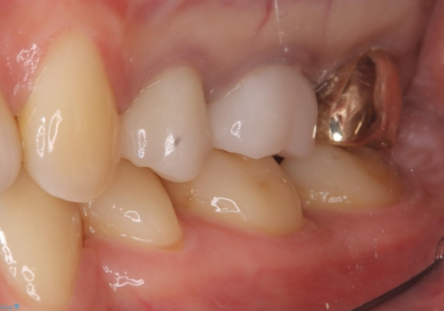
保険のメタルインレーから二次う蝕予防(保険のメタルインレーは腐食しやすかったり、適合があまり良くなかったりで二次的にう蝕がインレー下で広がってしまうことが多々あります。)のためのやり替えだったため、材料としてセラミックとゴールドを提案したところ、展延性に優れ違和感の少ないゴールドを選択されました。
費用
・ゴールドクラウン 110,000円(税込み 121,000円)
・仮歯 10,000円(税込み 11,000円)
計 132,000円
PGA(ゴールド)クラウン、インレーの注意事項(リスク・副作用など)
- インレーおよびクラウンは脱離するリスクがあります
- 形成量はセラミックより少ないですが、歯の形成、修復後に歯に症状が出ることがあります
- 自費診療(保険適用外治療)となります
当サイトの内容、テキスト、画像等の無断転載、複製、複写、盗用を固く禁じます。












