症例詳細
Case detail
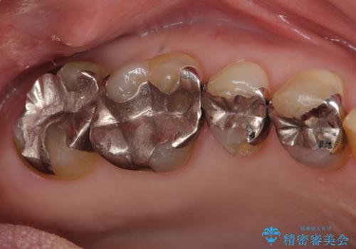
歯が欠けた 金属による割れない修復
治療症例の内容
- 診療科目
- 治療カテゴリ
- 担当医
- 岡田康成(ドクタープロフィール)
- 患者様
- 40代女性
- 治療期間
- 1ヶ月
- 治療回数
- 2-5回
- 治療計画
- 詰め物が欠けたとのことで来院されました。
実際は詰め物ではなく歯自体が欠けている状態でした。
銀の詰め物を外し、欠けたところを覆うように新しい詰め物を作成します。
- 費用(概算)
- 右上5 ゴールドアンレー 77,000円費用は治療当時の料金となります
治療について
欠けたところに金属を使用することで、再度欠けてしまうリスクを抑えました。
PGA(ゴールド)クラウン、インレーの注意事項(リスク・副作用など)
- インレーおよびクラウンは脱離するリスクがあります
- 形成量はセラミックより少ないですが、歯の形成、修復後に歯に症状が出ることがあります
- 自費診療(保険適用外治療)となります
当サイトの内容、テキスト、画像等の無断転載、複製、複写、盗用を固く禁じます。








