症例詳細
Case detail
予後の悪い歯を抜歯 インプラントでの治療
治療症例の内容
- 担当医
- 岡田康成(ドクタープロフィール)
- 患者様
- 30代男性
- 治療期間
- 1年3ヶ月
- 治療回数
- 5-10回
- 治療計画
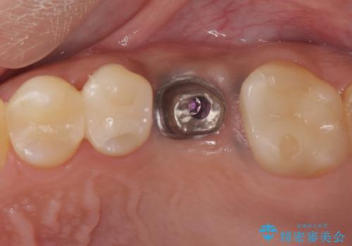
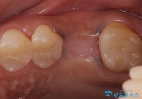
- 検査の結果、長くもたせることが困難な歯が確認された患者様です。
抜歯を行い、周囲の骨を増やしつつインプラントを埋入することとなりました。
- 費用(概算)
- 左上6:歯槽堤保存術/110,000円 サイナスリフト/110,000円 骨造成/55,000円 静脈内鎮静/55,000円 インプラント体/242,000円 チタンカスタムアバットメント/110,000円 仮歯/22,000円 ジルコニアクラウン/121,000円 合計825,000円 左上5:セラミックインレー/77,000円費用は治療当時の料金となります
治療について
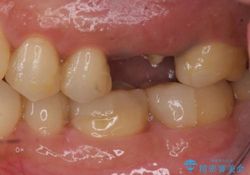
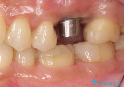
良い位置に良い方向でインプラントを埋入することができました。
手前の歯の虫歯もセラミックインレーで精度よく治療を行いました。
インプラント治療の注意事項(リスク・副作用など)
- 外科手術のため、術後に痛みや腫れ、違和感を伴います
- メンテナンスを怠ったり喫煙により、お口の中に大きな悪影響を及ぼすインプラント周囲炎等にかかる可能性があります
- 糖尿病、肝硬変、心臓病等の場合、インプラント治療ができない可能性があります
- 高血圧、貧血・不整脈等の場合、インプラント治療後に治癒不全を招く可能性があります
- 自費診療(保険適用外治療)となります
外科処置の注意事項(リスク・副作用など)
- 外科手術のため、術後に出血、痛みや腫れ、違和感を伴います
- 口腔内の状態によっては適応できないことがあります
当サイトの内容、テキスト、画像等の無断転載、複製、複写、盗用を固く禁じます。
















