症例詳細
Case detail
劣化した保険の詰め物部分の治療をしたい。
治療症例の内容
- 診療科目
- 治療カテゴリ
- 担当医
- 青山卓弘(ドクタープロフィール)
- 患者様
- 20代女性
- 治療期間
- 1ヶ月
- 治療回数
- 2-5回
- 治療計画
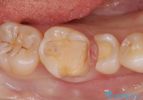
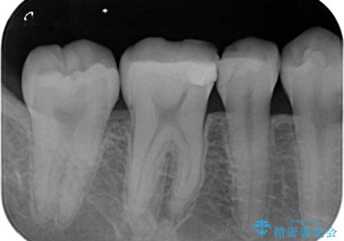
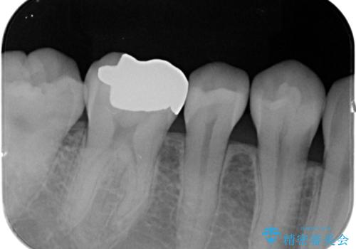
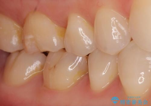
- 過去の樹脂の治療の劣化を治したいとの事で来院。大臼歯の歯は樹脂の範囲が大きくセラミックインレーで処置しても割れてしまう可能性があるため被せ物のご案内をしたところ、なるべく歯を削りたくないとのことでPGAアンレー(ゴールドアンレー)での治療となりました。手前の歯はセラミックの詰め物で治療する事ができました。
- 費用(概算)
- e-maxインレー 7.7万円 PGAアンレー 11万円費用は治療当時の料金となります
治療について
歯質の削除量をなるべく最小限にして治療が終わりました。
セラミック、ゴールド共に適合が良く虫歯の再発のリスクが低くなります。
PGA(ゴールド)クラウン、インレーの注意事項(リスク・副作用など)
- インレーおよびクラウンは脱離するリスクがあります
- 形成量はセラミックより少ないですが、歯の形成、修復後に歯に症状が出ることがあります
- 自費診療(保険適用外治療)となります
その他の注意事項(リスク・副作用など)
- 担当歯科医師、歯科衛生士又は医院スタッフから受けた説明・注意事項をよくご確認ください
- 医療を提供するに当たり、適切な説明を行い、患者様の十分な理解を得るよう努めております
セラミック治療の注意事項(リスク・副作用など)
- 天然歯を削ります
- 硬い素材は天然歯を傷つけてしまう場合があります
- かみ合わせや歯ぎしりが強すぎる方はセラミックが割れてしまう可能性があります
- 自費診療(保険適用外治療)となります
当サイトの内容、テキスト、画像等の無断転載、複製、複写、盗用を固く禁じます。










