症例詳細
Case detail
銀の詰め物を白くしたい。
治療症例の内容
- 診療科目
- 治療カテゴリ
- 担当医
- 青山卓弘(ドクタープロフィール)
- 患者様
- 20代男性
- 治療期間
- 4ヶ月
- 治療回数
- 2-5回
- 治療計画
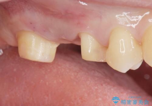
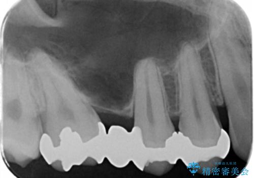
- 銀の詰め物、被せ物を白くしたいとのことで来院。
銀のところはインレーブリッジになっており、外してブリッジを入れたいが奥の歯が前に倒れ込んでおり、
ダミーの歯の部分(ポンティック)のスペースが狭いため無理やり作るとインレーブリッジと同じように小さい歯が出来てきます。
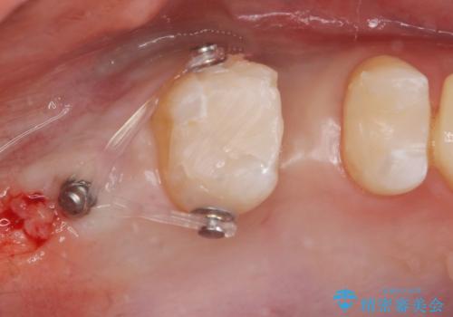
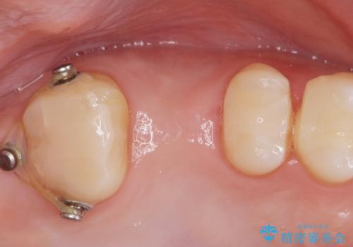
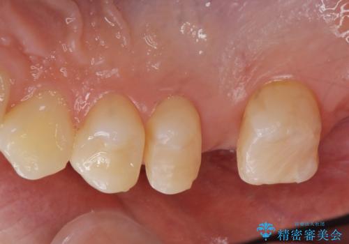
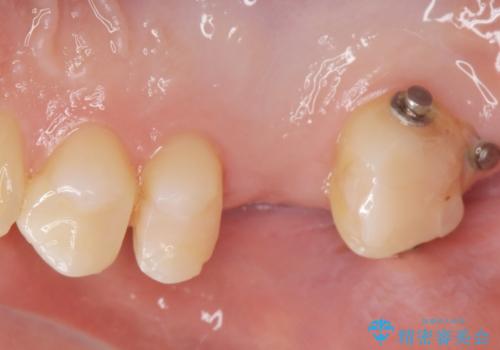
なので親知らずを抜歯して、一番奥の歯を部分矯正(upライト)をして倒れ込んでいる歯を起こしてスペースを作り、ブリッジの治療を行いました。
- 費用(概算)
- ジルコニアクラウンブリッジ(スタンダード)・仮歯・部分矯正(upライト) 50.6万円費用は治療当時の料金となります
治療について
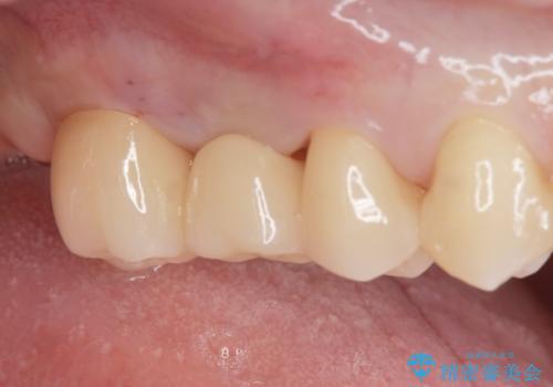
適合の良いブリッジが入りました。
歯の傾きを改善することにより食べ物が詰まりにくくなりました。
白い被せ物が入り、満足して頂けました。
セラミック治療の注意事項(リスク・副作用など)
- 天然歯を削ります
- 硬い素材は天然歯を傷つけてしまう場合があります
- かみ合わせや歯ぎしりが強すぎる方はセラミックが割れてしまう可能性があります
- 自費診療(保険適用外治療)となります
その他の注意事項(リスク・副作用など)
- 担当歯科医師、歯科衛生士又は医院スタッフから受けた説明・注意事項をよくご確認ください
- 医療を提供するに当たり、適切な説明を行い、患者様の十分な理解を得るよう努めております
当サイトの内容、テキスト、画像等の無断転載、複製、複写、盗用を固く禁じます。
















