症例詳細
Case detail
【抜歯】矯正治療とインプラントで正常な噛み合わせを実現
治療症例の内容
- 診療科目
- 治療カテゴリ
- 担当医
- 今村大二郎(ドクタープロフィール)
- 患者様
- 30代 女性
- 矯正装置
- マウスピース(インビザライン)
- 治療期間
- 2年2ヶ月
- 治療回数
- 10-30回
- 治療計画
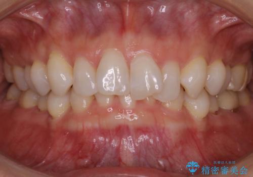
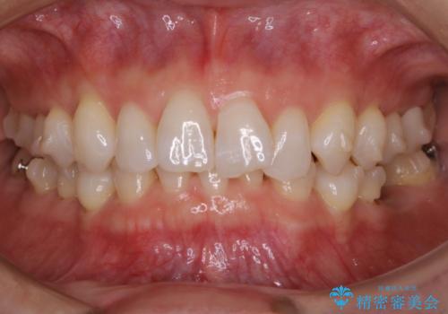
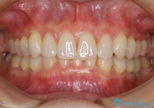
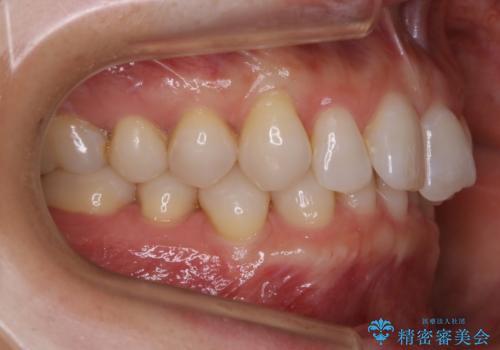
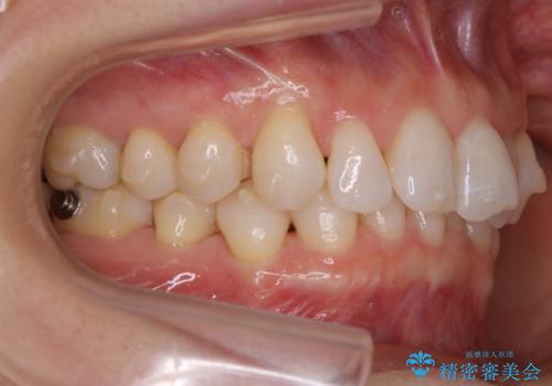
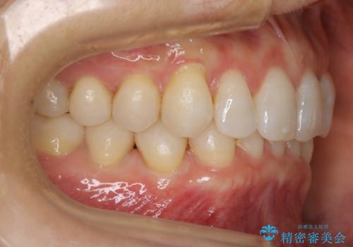
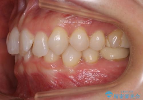
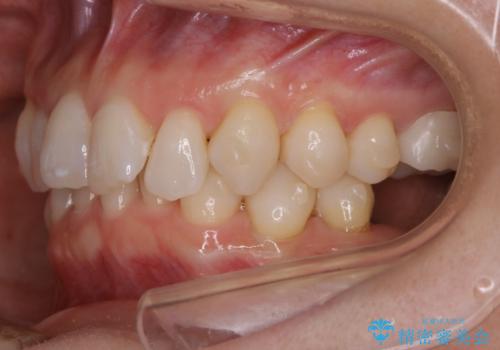
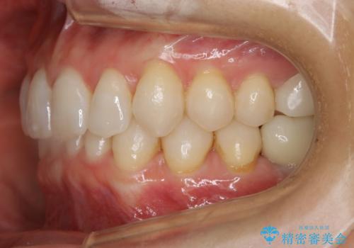
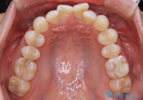
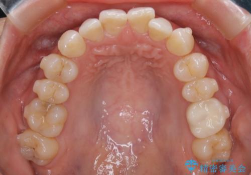
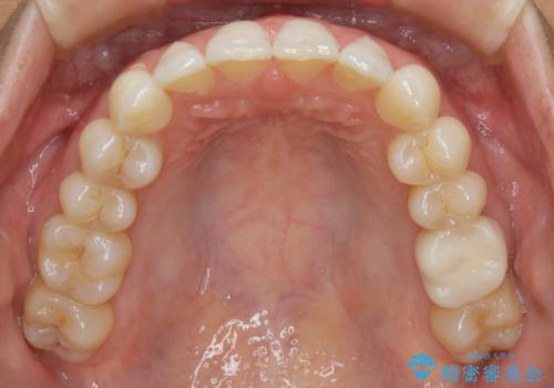
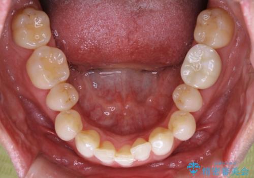
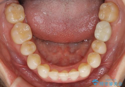
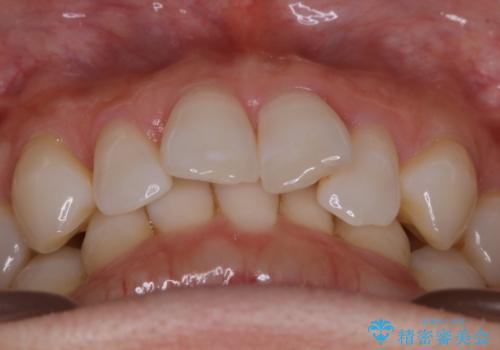
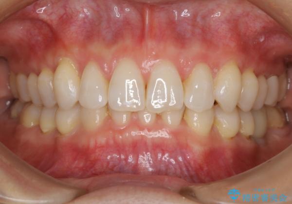
- 元々は矯正治療を主訴にご来院されました。
治療を始めるにあたり、精密検査を受けていただき全体の状況を把握したうえで矯正治療の計画を立てることとなりました。
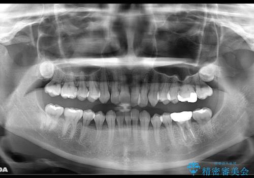
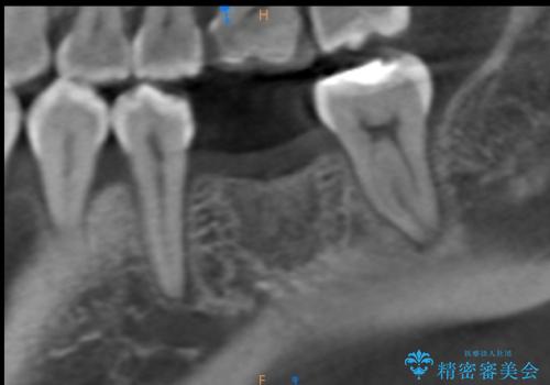
その過程で左下の6番目の歯は治療が必要な状態であることが分かり、被せ物を外して内部を確認してみると根が破折してしまっていることが判明しました。
歯が深い位置で破折している場合は基本的には抜歯が選択されます。
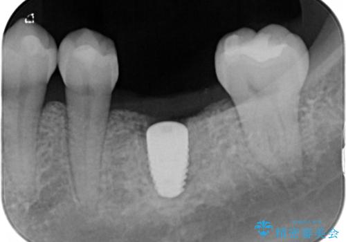
様々な治療プランを患者さんと相談させて頂き、最終的にインプラントで噛み合わせを回復させていくこととなり、まず悪くなっている歯を抜歯することから開始しました。
- 費用(概算)
- インビザライン コンプリヘンシブパッケージ 88万円・インプラント総額37万4千円 (どちらも税込み)費用は治療当時の料金となります
矯正治療と術前治療
当院では矯正治療を主訴にご来院された方は治療開始前に必ず精密検査を受けていただきます。
ご本人は症状もなくご自覚がなくても実は歯周病が進行していたり、根管治療が必要な歯が見つかるということもあります。
基本的にはそういった歯周病・虫歯に対しての治療は矯正治療開始前に完治させておく必要があります。これは、矯正装置装着後は清掃不良になりやすく虫歯の進行が早まったり、歯を移動させることで歯周病や根尖病巣が悪化する恐れがあるためです。
マウスピース矯正の注意事項(リスク・副作用など)
- 口腔内・歯並びの状態によっては対応できない場合があります
- マウスピース型矯正装置の長時間装着(1日20時間以上)が必須です
- 治療計画通りに進めるためには、患者様の意志が重要になります
- 矯正治療後の保定が不十分だと後戻り(元の位置に戻ろうとする動き)をします
- 薬機法対象外の矯正歯科装置のため医薬品副作用被害救済制度の対象外となる場合があります
- 自費診療(保険適用外)となります
インプラント治療の注意事項(リスク・副作用など)
- 外科手術のため、術後に痛みや腫れ、違和感を伴います
- メンテナンスを怠ったり喫煙により、お口の中に大きな悪影響を及ぼすインプラント周囲炎等にかかる可能性があります
- 糖尿病、肝硬変、心臓病等の場合、インプラント治療ができない可能性があります
- 高血圧、貧血・不整脈等の場合、インプラント治療後に治癒不全を招く可能性があります
- 自費診療(保険適用外治療)となります
当サイトの内容、テキスト、画像等の無断転載、複製、複写、盗用を固く禁じます。



























