症例詳細
Case detail
メタルの詰め物が取れた
治療症例の内容
- 診療科目
- 治療カテゴリ
- 担当医
- 青山卓弘(ドクタープロフィール)
- 患者様
- 30代女性
- 治療期間
- 1ヶ月
- 治療回数
- 2-5回
- 治療計画
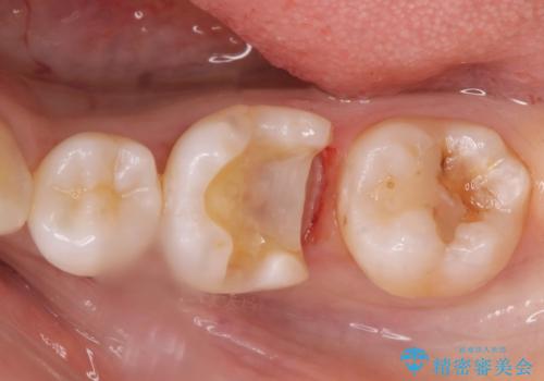
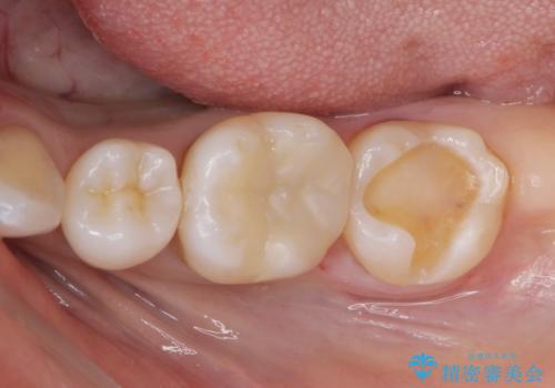
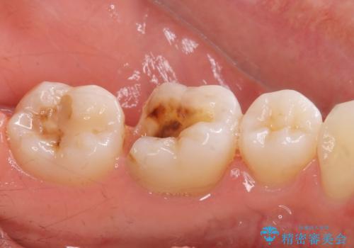
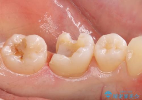
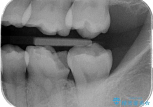
- メタルインレーが取れてしまって来院。
虫歯が再発していたので拡大鏡下で取り切った後、e-maxインレーにて治療しました。
また、一番奥の歯も古い樹脂の治療がされていたため虫歯の予防のために樹脂を取り除き、う蝕がないことを確認してe-maxインレーで治療しました。
- 費用(概算)
- e-maxインレー 7.7万円 ×2本費用は治療当時の料金となります
治療について
樹脂(プラスチック)の治療は白くて審美性は良いが経年的に劣化します。
た歯質との隙間ができてしまうため虫歯の再発のリスクが高いです。
e-max(セラミック)は歯質との隙間が出来にくく虫歯の再発のリスクが低くなります。
その他の注意事項(リスク・副作用など)
- 担当歯科医師、歯科衛生士又は医院スタッフから受けた説明・注意事項をよくご確認ください
- 医療を提供するに当たり、適切な説明を行い、患者様の十分な理解を得るよう努めております
セラミック治療の注意事項(リスク・副作用など)
- 天然歯を削ります
- 硬い素材は天然歯を傷つけてしまう場合があります
- かみ合わせや歯ぎしりが強すぎる方はセラミックが割れてしまう可能性があります
- 自費診療(保険適用外治療)となります
当サイトの内容、テキスト、画像等の無断転載、複製、複写、盗用を固く禁じます。










