症例詳細
Case detail
見た目にはわかりにくい奥歯の虫歯 セラミックインレーでの治療
治療症例の内容
- 診療科目
- 治療カテゴリ
- 担当医
- 岡田康成(ドクタープロフィール)
- 患者様
- 20代女性
- 治療期間
- 1ヶ月
- 治療回数
- 2-5回
- 治療計画
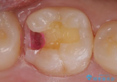
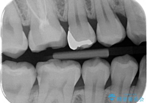
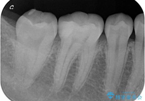
- 検査の結果虫歯が確認された患者様です。
見た目ではわかりにくい虫歯ですが、レントゲン画像でははっきりと写っていました。
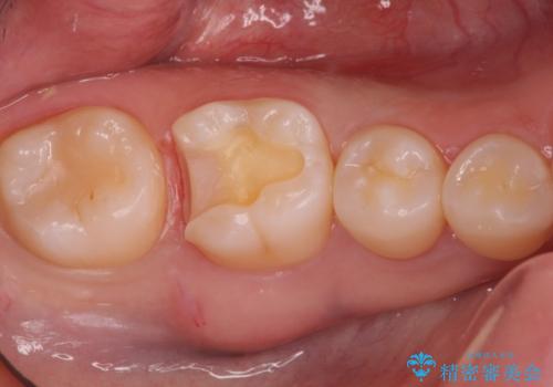
まだ虫歯の大きさが小さいためインレーでの修復処置を行います。
- 費用(概算)
- 右下6 セラミックインレー 77,000円費用は治療当時の料金となります
治療について
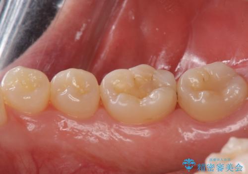
虫歯が大きくなりきる前に治療を行えたため、歯の削る量を抑えることができました。
精度の良い詰め物は今後の虫歯リスクを抑えることにもつながります。
セラミック治療の注意事項(リスク・副作用など)
- 天然歯を削ります
- 硬い素材は天然歯を傷つけてしまう場合があります
- かみ合わせや歯ぎしりが強すぎる方はセラミックが割れてしまう可能性があります
- 自費診療(保険適用外治療)となります
当サイトの内容、テキスト、画像等の無断転載、複製、複写、盗用を固く禁じます。









