症例詳細
Case detail
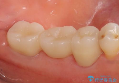
折れても諦めない! 究極のAGCガルバノクラウン
治療症例の内容
- 患者様
- 40代女性
- 治療期間
- 1年
- 治療回数
- 5-10回
- 治療計画
- 折れた歯の歯根挺出→歯周外科による歯と歯茎の位置関係の是正
→根管治療・ファイバーコアの植立→歯茎の治癒を待って完成へ
- 費用(概算)
- 約60万円費用は治療当時の料金となります
治療について
かなり深い位置で折れてしまっていたため、十中八九は抜歯になると説明し治療に介入しました。歯根挺出・歯周外科を併用することにより予想していたよりも良いコンディションで歯を残せそうと判断し、最終的には動揺なども全く無い状態で保存することができました。歯周外科などは負担も大きいですが、得られる効果も絶大といえます。
AGCについて
構造はメタルボンドによく似ていますが、製作の方法は全く異なります。歯型に純金を電鋳することで内冠を製作し、この純金製のフレームにファイアリングセラミックスが築盛されます。純金の温かい黄金色を背景としたセラミックは、オールセラミックよりも温かみがあり、自然な色調を再現することが可能です。電鋳される純金は99.9%に及ぶ高純度なため、当然金属腐食などの心配はありません。
セラミック治療の注意事項(リスク・副作用など)
- 天然歯を削ります
- 硬い素材は天然歯を傷つけてしまう場合があります
- かみ合わせや歯ぎしりが強すぎる方はセラミックが割れてしまう可能性があります
- 自費診療(保険適用外治療)となります
当サイトの内容、テキスト、画像等の無断転載、複製、複写、盗用を固く禁じます。






















