症例詳細
Case detail
失った歯のインプラント補綴
治療症例の内容
- 診療科目
- 治療カテゴリ
- 担当医
- 大元洋佑(ドクタープロフィール)
- 患者様
- 50代女性
- 治療期間
- 7ヶ月
- 治療回数
- 5-10回
- 治療計画
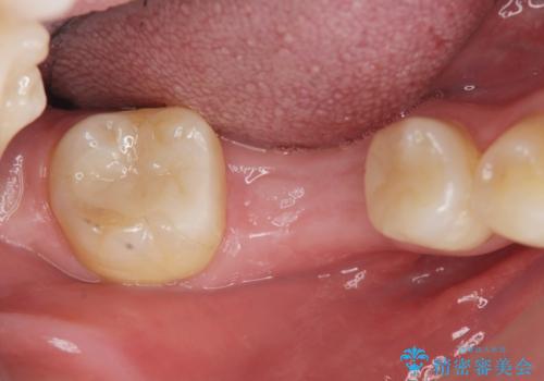
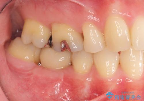
- 歯の破折により失ってしまった右下の歯の機能回復を求めて来院されました。
取り外しの必要な入れ歯や、歯を大きく削る必要のあるブリッジではなく、インプラント治療を希望されました。
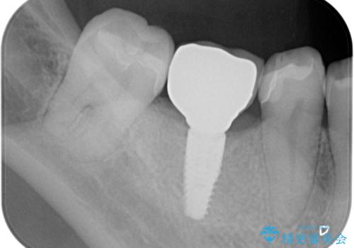
骨の増成を含むインプラント治療を計画します。
- 費用(概算)
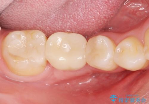
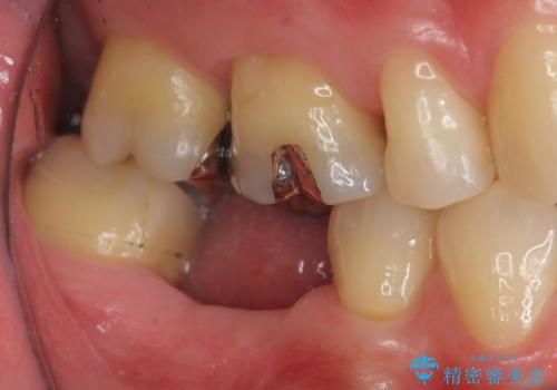
- 44万円(インプラント・チタンカスタムアバットメント・ジルコニアクラウン・仮歯)費用は治療当時の料金となります
治療について
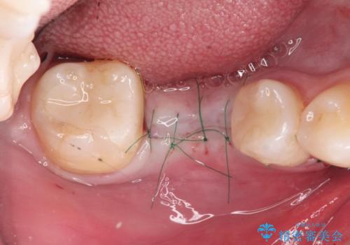
安定し、長く使用できるようなインプラント治療を実践するため、骨の増成をインプラント埋入と同時に行いました。
インプラント治療の注意事項(リスク・副作用など)
- 外科手術のため、術後に痛みや腫れ、違和感を伴います
- メンテナンスを怠ったり喫煙により、お口の中に大きな悪影響を及ぼすインプラント周囲炎等にかかる可能性があります
- 糖尿病、肝硬変、心臓病等の場合、インプラント治療ができない可能性があります
- 高血圧、貧血・不整脈等の場合、インプラント治療後に治癒不全を招く可能性があります
- 自費診療(保険適用外治療)となります
当サイトの内容、テキスト、画像等の無断転載、複製、複写、盗用を固く禁じます。















