症例詳細
Case detail
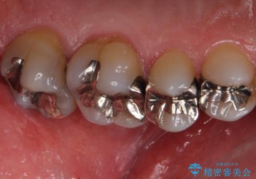
奥歯の虫歯 ゴールドインレーでの修復処置
治療症例の内容
- 診療科目
- 治療カテゴリ
- 担当医
- 岡田康成(ドクタープロフィール)
- 患者様
- 50代男性
- 治療期間
- 1ヶ月
- 治療回数
- 2-5回
- 治療計画
- メンテナンスで3年ぶりにいらっしゃた患者様です。
検査の結果虫歯が確認されたため、治療を進めることとなりました。
- 費用(概算)
- 左上7 ゴールドインレー 77,000円費用は治療当時の料金となります
治療について
ゴールドの詰め物や被せ物はかなり精度よく仕上がります。
外から見えにくい上の奥歯に特におすすめです。
また、歯と歯の間は虫歯の好発部位です。
歯磨きに加え、フロスや歯間ブラシを通す習慣をつけましょう。
PGA(ゴールド)クラウン、インレーの注意事項(リスク・副作用など)
- インレーおよびクラウンは脱離するリスクがあります
- 形成量はセラミックより少ないですが、歯の形成、修復後に歯に症状が出ることがあります
- 自費診療(保険適用外治療)となります
当サイトの内容、テキスト、画像等の無断転載、複製、複写、盗用を固く禁じます。








