症例詳細
Case detail
割れてしまった奥歯 サイナスリフトによるインプラント補綴治療
治療症例の内容
- 診療科目
- 治療カテゴリ
- 担当医
- 藤巻太一朗(ドクタープロフィール)
- 患者様
- 40代女性
- 治療期間
- 8ヶ月
- 治療回数
- 5-10回
- 治療計画
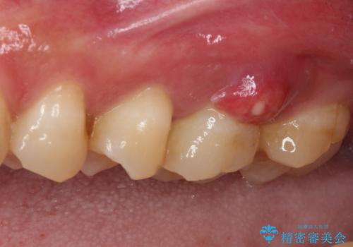
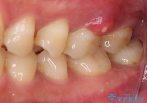
- 近医にて歯が割れている可能性があると言われて来院された患者様です。
歯が割れているかどうかは、顕微鏡下で破折を確認することになりますが、割れていなかった場合には根管治療を行った上で補綴治療を行うことになるため、破折が確認できるまでは根管治療を行う前提で治療を進めて行くこととしました。
破折した場合にはインプラントを埋入した上で補綴治療を行うこととしました。
- 費用(概算)
- 治療費の目安: 45万円(税込)費用は治療当時の料金となります
治療について
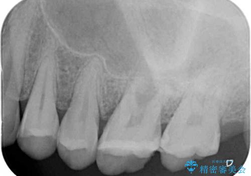
初診時の診察所見では、破折の可能性は低く、根管治療を前提とした治療にて説明をしておりました。
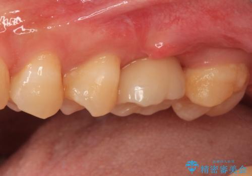
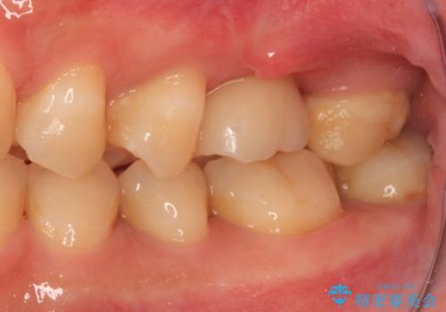
詰められた材料や壊死した組織を除去したところ、鮮明な破折線が認められたため、速やかに抜歯し、傷や骨の治癒を待って、サイナスリフトにより骨高さの低い部分にインプラント埋入を行いました。
インプラント治療の注意事項(リスク・副作用など)
- 外科手術のため、術後に痛みや腫れ、違和感を伴います
- メンテナンスを怠ったり喫煙により、お口の中に大きな悪影響を及ぼすインプラント周囲炎等にかかる可能性があります
- 糖尿病、肝硬変、心臓病等の場合、インプラント治療ができない可能性があります
- 高血圧、貧血・不整脈等の場合、インプラント治療後に治癒不全を招く可能性があります
- 自費診療(保険適用外治療)となります
セラミック治療の注意事項(リスク・副作用など)
- 天然歯を削ります
- 硬い素材は天然歯を傷つけてしまう場合があります
- かみ合わせや歯ぎしりが強すぎる方はセラミックが割れてしまう可能性があります
- 自費診療(保険適用外治療)となります
当サイトの内容、テキスト、画像等の無断転載、複製、複写、盗用を固く禁じます。













