症例詳細
Case detail
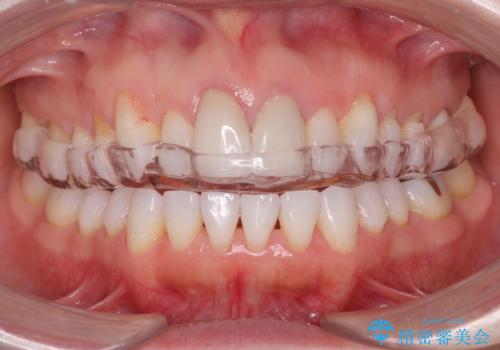
ナイトガードで歯を保護
治療症例の内容
- 診療科目
- 治療カテゴリ
- 担当医
- 岡田康成(ドクタープロフィール)
- 患者様
- 30代女性
- 治療期間
- 1ヶ月
- 治療回数
- 2-5回
- 治療計画
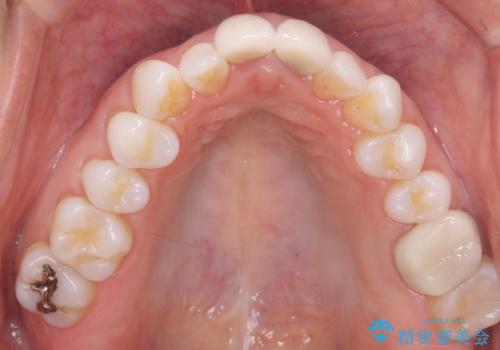
- メンテナンスでいらっしゃった患者様です。
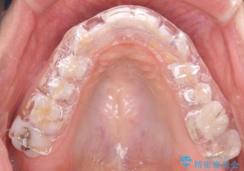
歯を保護するためのナイトガードを装着していきます。
- 費用(概算)
- ナイトガード 33,000円費用は治療当時の料金となります
治療について
厚みのあるナイトガードを調整することで、夜間の歯ぎしりにより歯にかかる強い力を分散させることができます。
その他の注意事項(リスク・副作用など)
- 担当歯科医師、歯科衛生士又は医院スタッフから受けた説明・注意事項をよくご確認ください
- 医療を提供するに当たり、適切な説明を行い、患者様の十分な理解を得るよう努めております
当サイトの内容、テキスト、画像等の無断転載、複製、複写、盗用を固く禁じます。





