症例詳細
Case detail
歯と歯の間の虫歯 インレーでの治療(セラミック・ゴールド)
治療症例の内容
- 診療科目
- 治療カテゴリ
- 担当医
- 岡田康成(ドクタープロフィール)
- 患者様
- 20代女性
- 治療期間
- 1ヶ月
- 治療回数
- 2-5回
- 治療計画
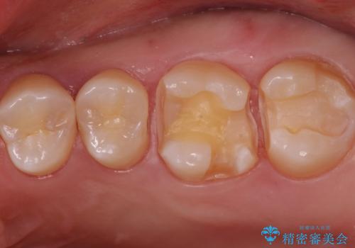
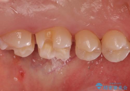
- 銀歯のやり替えと虫歯の治療をご希望で来院された患者様です。
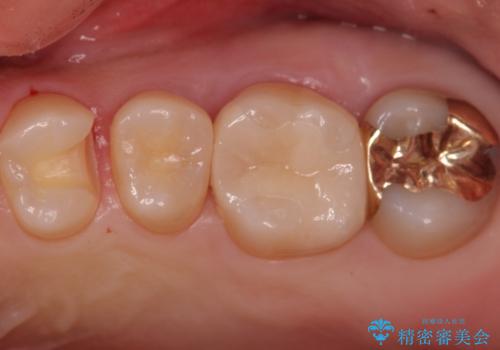
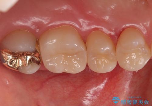
一番奥の歯は外から見えにくい部分であるためゴールドインレーで修復します。
その他はセラミックインレーで修復します。
- 費用(概算)
- 左上46:セラミックインレー/77,000円×2 左上7:ゴールドインレー/77,000円×1費用は治療当時の料金となります
治療について
噛みしめの強い方や、外から見えないような部分では、割れる心配のないゴールドインレーをおすすめします。
セラミック治療の注意事項(リスク・副作用など)
- 天然歯を削ります
- 硬い素材は天然歯を傷つけてしまう場合があります
- かみ合わせや歯ぎしりが強すぎる方はセラミックが割れてしまう可能性があります
- 自費診療(保険適用外治療)となります
PGA(ゴールド)クラウン、インレーの注意事項(リスク・副作用など)
- インレーおよびクラウンは脱離するリスクがあります
- 形成量はセラミックより少ないですが、歯の形成、修復後に歯に症状が出ることがあります
- 自費診療(保険適用外治療)となります
当サイトの内容、テキスト、画像等の無断転載、複製、複写、盗用を固く禁じます。











