症例詳細
Case detail
前歯をきれいにしたい、セラミック矯正
治療症例の内容
- 治療カテゴリ
- 担当医
- 吉﨑ゆりな(ドクタープロフィール)
- 患者様
- 20代女性
- 治療期間
- 1年6ヶ月
- 治療回数
- 2-5回
- 治療計画
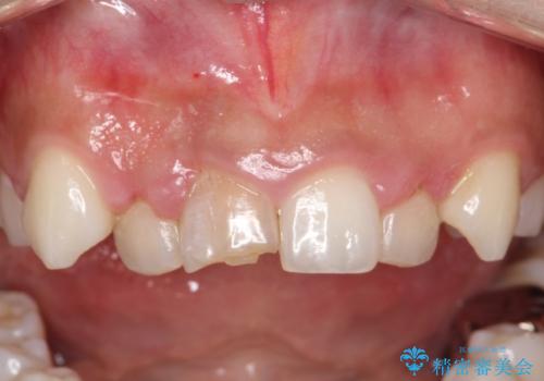
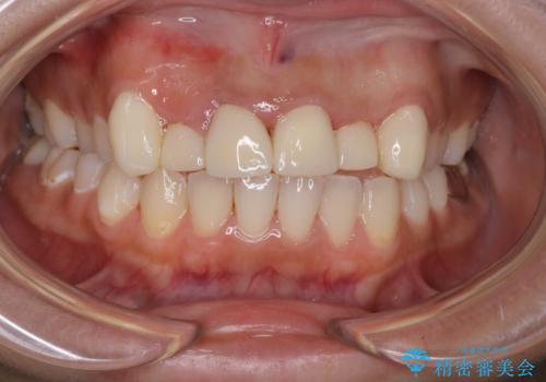
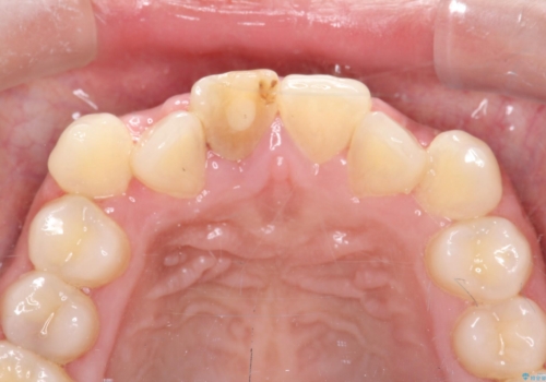
- セラミック矯正希望で来院された患者さんです。
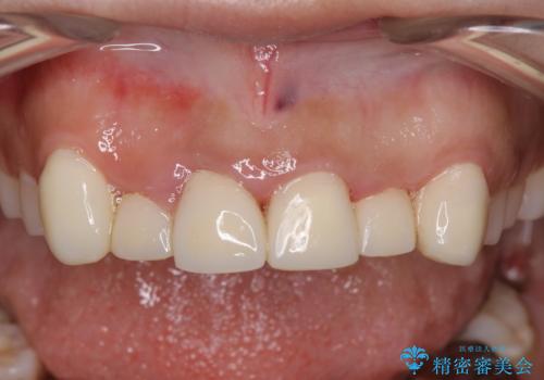
歯周組織の状態が悪く、この状態ではきれいにかぶせものを入れることができないため、仮歯にかえてある程度見た目を改善した上で、歯周基本治療を進めることに。
歯肉の状態が改善できたら、セラミックに変えていく治療計画を立てました。
- 費用(概算)
- 約110万円費用は治療当時の料金となります
治療について
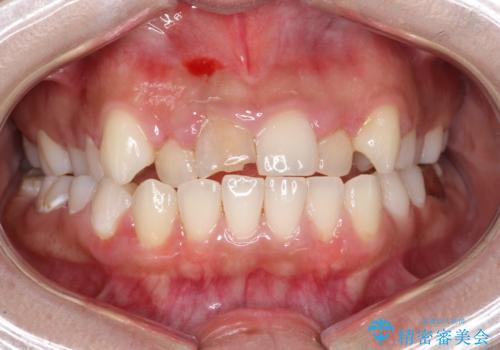
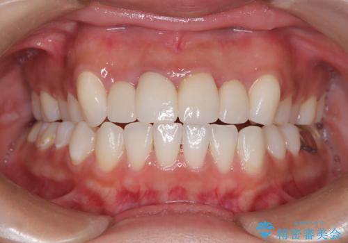
歯周組織がある程度改善されるまでに3か月ほどかかりました。
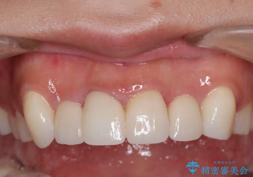
いざ型どりしていくというタイミングで、前歯の大きさが違いすぎるのが気になるとのことで歯周外科治療(アピカリ)にて歯肉のラインを整えることに。
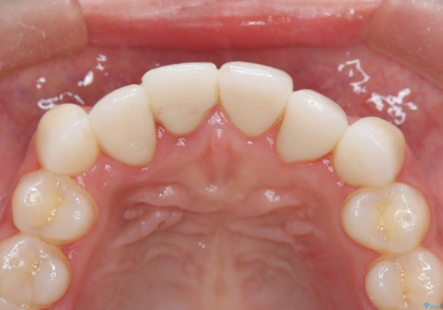
歯肉の治りを待ったうえで(約8か月)、最終補綴することとなりました。
補綴はスペシャルです。
結果的に期間がかなりかかってしまいましたが、患者様に満足していただける結果となりました。
セラミック治療の注意事項(リスク・副作用など)
- 天然歯を削ります
- 硬い素材は天然歯を傷つけてしまう場合があります
- かみ合わせや歯ぎしりが強すぎる方はセラミックが割れてしまう可能性があります
- 自費診療(保険適用外治療)となります
外科処置の注意事項(リスク・副作用など)
- 外科手術のため、術後に出血、痛みや腫れ、違和感を伴います
- 口腔内の状態によっては適応できないことがあります
当サイトの内容、テキスト、画像等の無断転載、複製、複写、盗用を固く禁じます。











