症例詳細
Case detail
審美性に優れるノンクラスプデンチャー(バネの目立たない入れ歯)
治療症例の内容
- 担当医
- 大元洋佑(ドクタープロフィール)
- 患者様
- 60代女性
- 治療期間
- 2ヶ月
- 治療回数
- 2-5回
- 治療計画
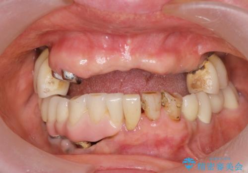
- 前歯の入れ歯の再作製を希望され来院されました。
奥歯には多数インプラントがすでに埋入されており、しっかりと噛める状況を踏まえて
審美性に優れる前歯のノンクラスプデンチャーの作製を計画します。
- 費用(概算)
- 27.5万円(税込)費用は治療当時の料金となります
治療について
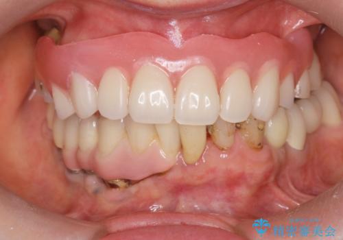
入れ歯でもしっかりと見た目・審美性を回復することができました。
入れ歯の注意事項(リスク・副作用など)
- ブリッジやインプラントと比較して、色が合いづらい、見た目の違和感があります
- ブリッジやインプラントと比較して、話しにくい、舌が当たる等の違和感があります
- 慣れるまで微調整で何度か通って頂くことがあります
- 就寝時や食後に毎回取り外して、清掃する必要があります
- 自費診療(保険適用外)となります
当サイトの内容、テキスト、画像等の無断転載、複製、複写、盗用を固く禁じます。




