症例詳細
Case detail
1年ぶりのオフィスホワイトニング
治療症例の内容
- 診療科目
- 治療カテゴリ
- 患者様
- 30代男性
- 治療期間
- 1日
- 治療回数
- 1回
- 治療計画
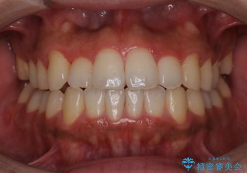
- 前回のホワイトニングから約1年が経過し、黄ばみが気になってきたということでオフィスホワイトニングをご希望で来院されました。
- 費用(概算)
- 35200円(税込み)費用は治療当時の料金となります
治療について
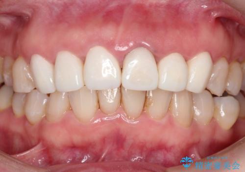
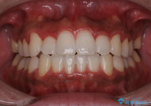
ホワイトニング前にステインを落とすためにPMTCを行いました。照射後は2トーンアップし、目でわかるほど白くなりました。患者様にもご満足していただける結果になりました。
新橋銀座しらゆり歯科 歯科衛生士松尾
ホワイトニングの注意事項(リスク・副作用など)
- 知覚過敏が出ることがあります
- ホワイトバンドや白い斑点が出ることがあります
- クラウンやインレー等の補綴物には効果がありません
- ホワイトニングによる効果や持続期間には個人差があります
- 歯牙の状態によっては適応できないことがあります
- 保険適用外となります
PMTCの注意事項(リスク・副作用など)
- 歯を白くする目的の施術ではありません
- 保険適用外となります
当サイトの内容、テキスト、画像等の無断転載、複製、複写、盗用を固く禁じます。


