症例詳細
Case detail
歯と歯の間の虫歯 セラミックインレーでの治療
治療症例の内容
- 診療科目
- 治療カテゴリ
- 担当医
- 岡田康成(ドクタープロフィール)
- 患者様
- 20代男性
- 治療期間
- 1ヶ月
- 治療回数
- 2-5回
- 治療計画
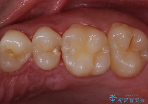
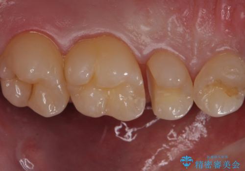
- 検査の結果虫歯が見つかった患者様です。
レントゲン画像と視診から詰め物で対応可能と判断したためインレーでの修復をしていきます。
- 費用(概算)
- 左上5 セラミックインレー/77,000円費用は治療当時の料金となります
治療について
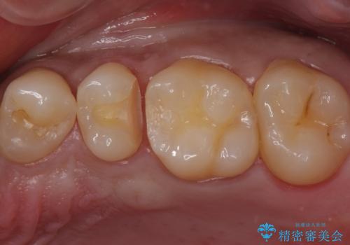
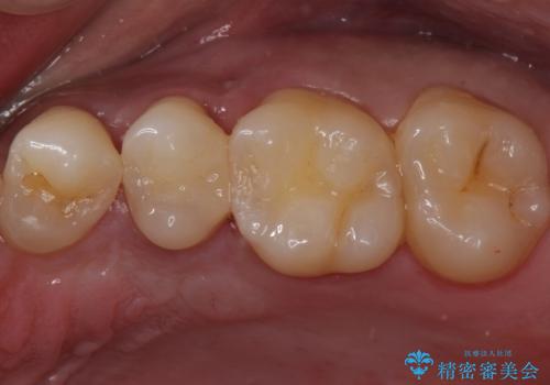
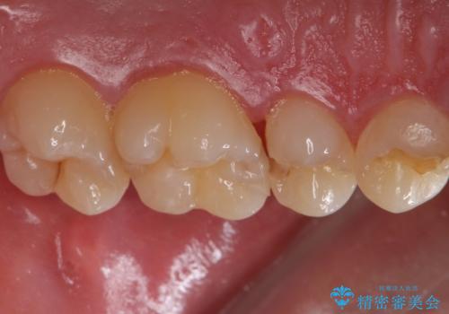
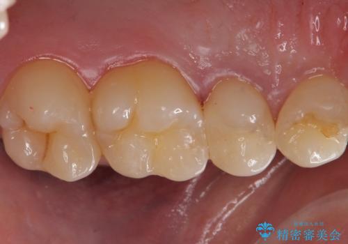
適合の良いインレーは段差がない上にセラミックは汚れがつきにくい材料であるため今後の虫歯発生リスクを抑えることに繋がります。
セラミック治療の注意事項(リスク・副作用など)
- 天然歯を削ります
- 硬い素材は天然歯を傷つけてしまう場合があります
- かみ合わせや歯ぎしりが強すぎる方はセラミックが割れてしまう可能性があります
- 自費診療(保険適用外治療)となります
当サイトの内容、テキスト、画像等の無断転載、複製、複写、盗用を固く禁じます。








