症例詳細
Case detail
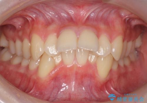
他3軒で4本抜いてワイヤー矯正と言われた 1本の抜歯でマウスピース矯正で治療可能です
治療症例の内容
- 診療科目
- 担当医
- 井上季実子(ドクタープロフィール)
- 患者様
- 20代女性
- 矯正装置
- インビザライン
- 治療期間
- 1年10ヶ月
- 治療回数
- 10-30回
- 治療計画
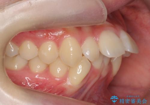
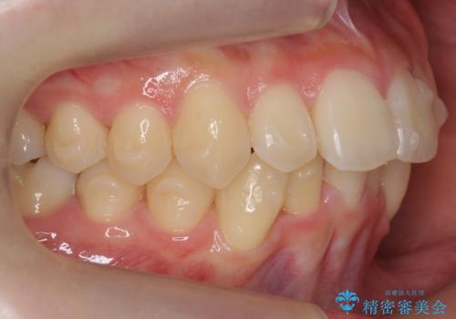
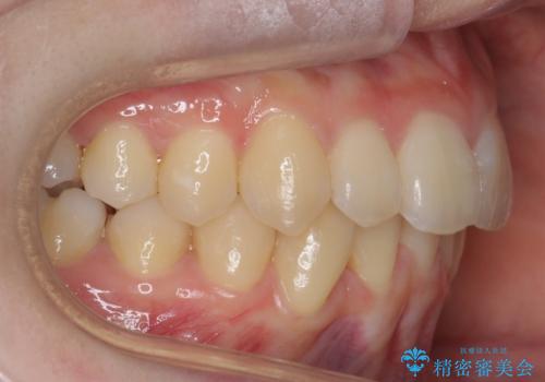
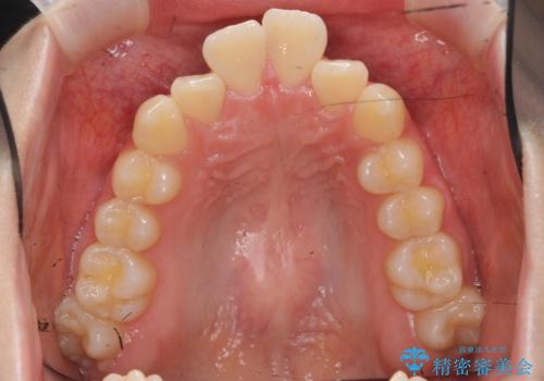
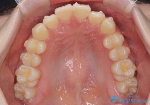
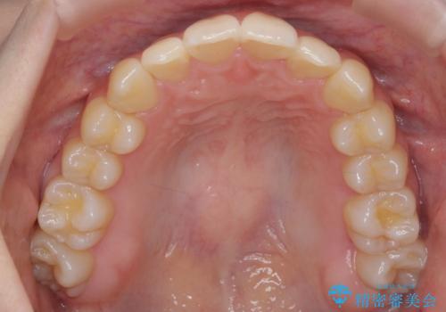
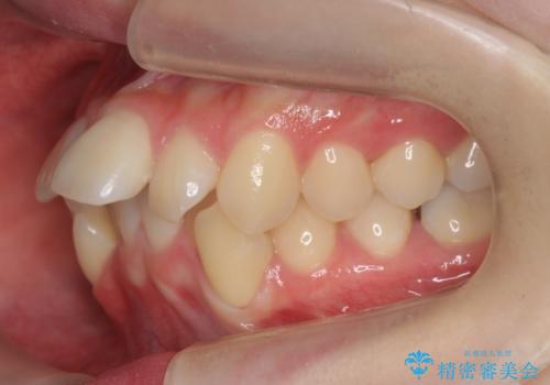
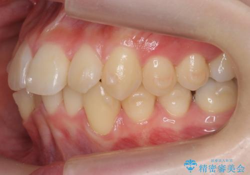
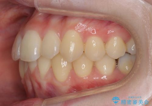
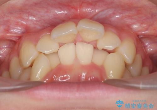
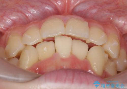
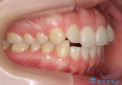
- 他の歯科医院でマウスピース矯正は難しい、歯を4本抜いてワイヤー矯正を勧められた方です。
マウスピース矯正希望で抜歯もできれば回避したい、前歯の突出感をなおしたいとのことでした。
下の前歯を1本のみ抜歯させていただき、上の前歯を引っ込めるために、歯列の幅を拡大して歯を少し削る処置を行いました。
- 費用(概算)
- 95万円費用は治療当時の料金となります
治療について
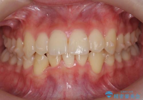
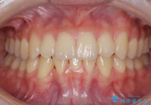
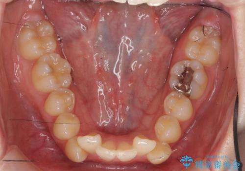
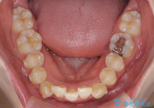
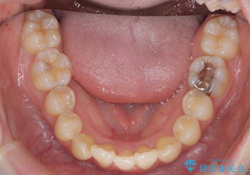
下の前歯を一本お取りしているため、上下の正中は合いません。
治療開始して1年未満で下の前歯のすき間も閉じ、見た目も大きく改善して大変喜んでいただきました。
マウスピース矯正の注意事項(リスク・副作用など)
- 口腔内・歯並びの状態によっては対応できない場合があります
- マウスピース型矯正装置の長時間装着(1日20時間以上)が必須です
- 治療計画通りに進めるためには、患者様の意志が重要になります
- 矯正治療後の保定が不十分だと後戻り(元の位置に戻ろうとする動き)をします
- 薬機法対象外の矯正歯科装置のため医薬品副作用被害救済制度の対象外となる場合があります
- 自費診療(保険適用外)となります
当サイトの内容、テキスト、画像等の無断転載、複製、複写、盗用を固く禁じます。























