症例詳細
Case detail
歯周病により抜去した歯のインプラント治療
治療症例の内容
- 診療科目
- 治療カテゴリ
- 担当医
- 大元洋佑(ドクタープロフィール)
- 患者様
- 50代男性
- 治療期間
- 10ヶ月
- 治療回数
- 5-10回
- 治療計画
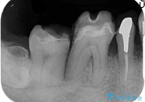
- 歯周病が進行し、根尖付近まで歯槽骨(歯を支える骨)の吸収が見られる歯の治療を希望され来院されました。
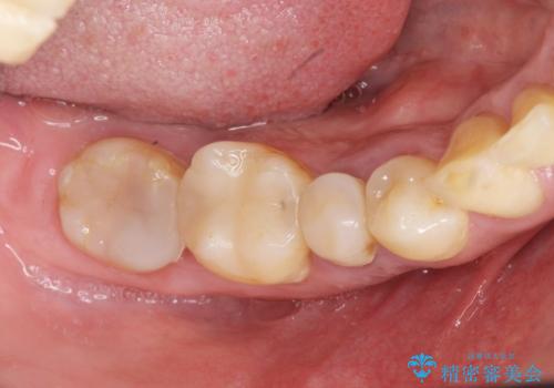
長期的な予後の見込めない奥歯の抜去を行い、骨と歯ぐきの治癒を待ち、インプラント治療を計画します。
- 費用(概算)
- 88万円(インプラント2本分)費用は治療当時の料金となります
治療について
インプラント周囲には骨の増生を埋入時に同時に行っています。
インプラント治療の注意事項(リスク・副作用など)
- 外科手術のため、術後に痛みや腫れ、違和感を伴います
- メンテナンスを怠ったり喫煙により、お口の中に大きな悪影響を及ぼすインプラント周囲炎等にかかる可能性があります
- 糖尿病、肝硬変、心臓病等の場合、インプラント治療ができない可能性があります
- 高血圧、貧血・不整脈等の場合、インプラント治療後に治癒不全を招く可能性があります
- 自費診療(保険適用外治療)となります
当サイトの内容、テキスト、画像等の無断転載、複製、複写、盗用を固く禁じます。

















