症例詳細
Case detail
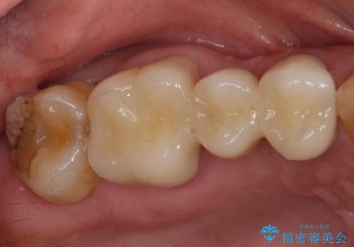
他院でブリッジの仮歯を入れたが、外れやすいため転院を希望
治療症例の内容
- 診療科目
- 治療カテゴリ
- 担当医
- 井上季実子(ドクタープロフィール)
- 患者様
- 40代女性
- 治療期間
- 1ヶ月
- 治療回数
- 2-5回
- 治療計画
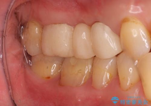
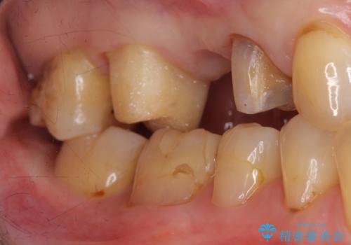
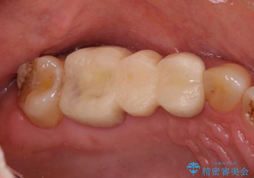
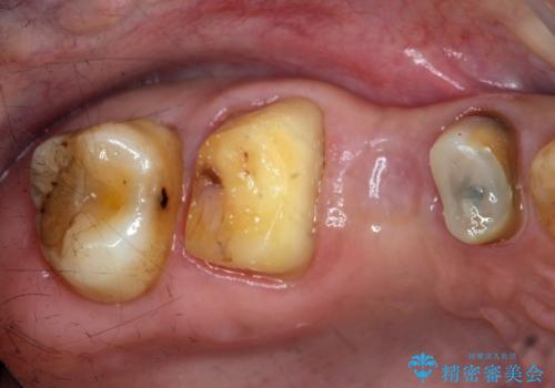
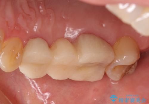
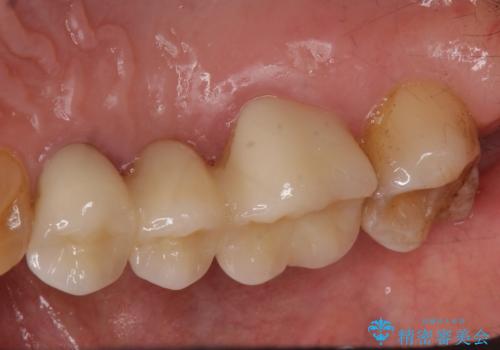
- 他院でブリッジの仮歯を入れたが、外れやすいため転院を希望された患者様です。
支台歯の形が角度が大きくついた形に形成してあり、外れやすい形になっていたため修正してから歯型をとりました。
- 費用(概算)
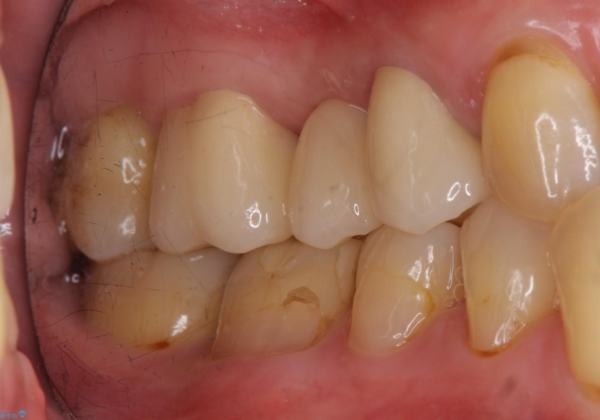
- 36.3万円(ジルコニアクラウン10万円x3本)費用は治療当時の料金となります
治療について
根の治療のやり直しは特に行っていません。
セラミック治療の注意事項(リスク・副作用など)
- 天然歯を削ります
- 硬い素材は天然歯を傷つけてしまう場合があります
- かみ合わせや歯ぎしりが強すぎる方はセラミックが割れてしまう可能性があります
- 自費診療(保険適用外治療)となります
当サイトの内容、テキスト、画像等の無断転載、複製、複写、盗用を固く禁じます。











