症例詳細
Case detail
下顎骨隆起を用いた骨造成・インプラント補綴
治療症例の内容
- 診療科目
- 治療カテゴリ
- 担当医
- 大元洋佑(ドクタープロフィール)
- 患者様
- 50代女性
- 治療期間
- 10ヶ月
- 治療回数
- 5-10回
- 治療計画
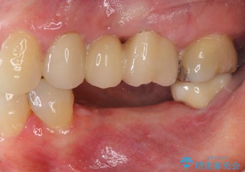
- 歯を喪失してしまい、咬合機能の回復を求めて来院されました。
入れ歯ではなく、よりしっかりと噛めるようになるインプラント治療を希望されましたが、将来的な安定を見込むにはインプラント周囲の骨量が少ない状況でした。
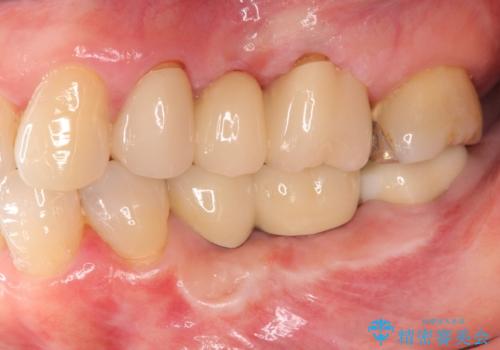
舌側にある大きな骨隆起を除去するとともに、除去した骨と人工骨を用いてインプラント周囲の骨を造成します。
- 費用(概算)
- 88万円(インプラント×2・アバットメント×2・クラウン×2・骨造成)費用は治療当時の料金となります
治療について
自家骨と人工骨による骨造成は、長期的に見て安定し吸収が少ないとされる骨の造成法です。
インプラント周囲に、必要十分な骨を作ることが長期渡りインプラントにトラブルを起こしにくい鍵となります。
インプラント治療の注意事項(リスク・副作用など)
- 外科手術のため、術後に痛みや腫れ、違和感を伴います
- メンテナンスを怠ったり喫煙により、お口の中に大きな悪影響を及ぼすインプラント周囲炎等にかかる可能性があります
- 糖尿病、肝硬変、心臓病等の場合、インプラント治療ができない可能性があります
- 高血圧、貧血・不整脈等の場合、インプラント治療後に治癒不全を招く可能性があります
- 自費診療(保険適用外治療)となります
セラミック治療の注意事項(リスク・副作用など)
- 天然歯を削ります
- 硬い素材は天然歯を傷つけてしまう場合があります
- かみ合わせや歯ぎしりが強すぎる方はセラミックが割れてしまう可能性があります
- 自費診療(保険適用外治療)となります
当サイトの内容、テキスト、画像等の無断転載、複製、複写、盗用を固く禁じます。


















