症例詳細
Case detail
銀歯のやり替え セラミックインレーでの治療
治療症例の内容
- 診療科目
- 治療カテゴリ
- 担当医
- 岡田康成(ドクタープロフィール)
- 患者様
- 20代女性
- 治療期間
- 1ヶ月
- 治療回数
- 2-5回
- 治療計画
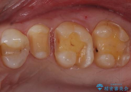
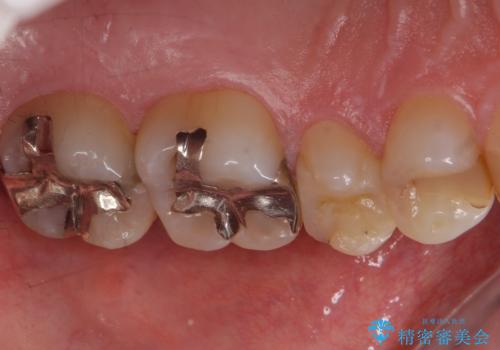
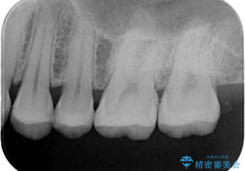
- 銀歯のやり替えをご希望で来院されました。
虫歯を取りつつ銀歯を外し、セラミックインレーでの修復処置を行います。
- 費用(概算)
- 左上567 セラミックインレー:77,000円×3本費用は治療当時の料金となります
治療について
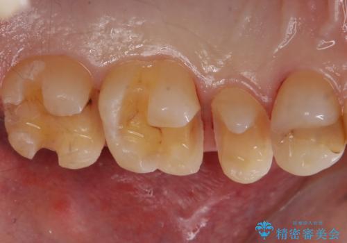
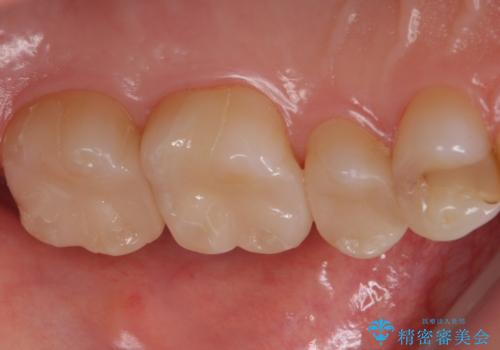
処置中に手前の歯の詰め物の不適合が確認されたため、追加で治療していくこととなりました。
銀の詰め物と不適合な詰め物を精度の良いセラミックインレーに変えることができました。
セラミック治療の注意事項(リスク・副作用など)
- 天然歯を削ります
- 硬い素材は天然歯を傷つけてしまう場合があります
- かみ合わせや歯ぎしりが強すぎる方はセラミックが割れてしまう可能性があります
- 自費診療(保険適用外治療)となります
当サイトの内容、テキスト、画像等の無断転載、複製、複写、盗用を固く禁じます。








