症例詳細
Case detail
奥歯が欠けた セラミックインレーでの修復後、ナイトガード装着
治療症例の内容
- 診療科目
- 担当医
- 岡田康成(ドクタープロフィール)
- 患者様
- 30代女性
- 治療期間
- 1ヶ月
- 治療回数
- 2-5回
- 治療計画
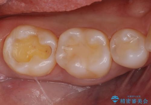
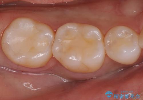
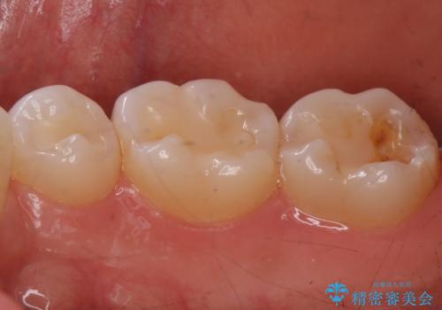
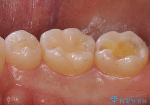
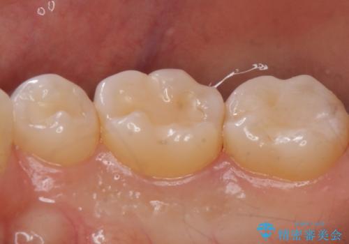
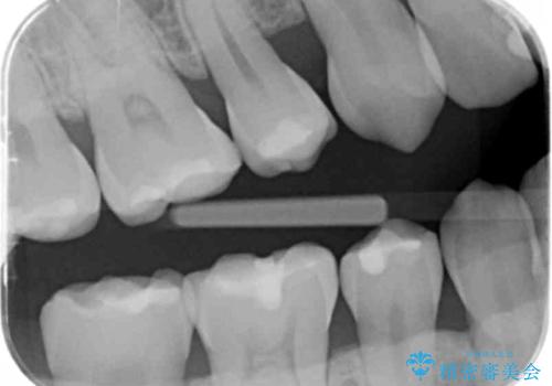
- 右下の奥歯が欠けたとのことで来院されました。
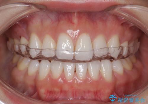
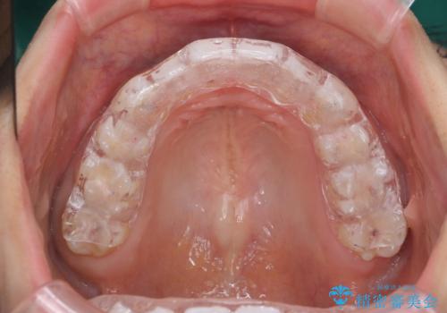
欠けた部分にはセラミックインレーで修復処置を行い、今後の破折リスクを抑えるためにナイトガードを製作していきます。
- 費用(概算)
- 右下7 セラミックインレー 77,000円/ナイトガード 33,000円費用は治療当時の料金となります
治療について
食いしばりが強い方はセラミックがまた割れる可能性があるため、予防的にナイトガードを装着することをお勧めします。
セラミック治療の注意事項(リスク・副作用など)
- 天然歯を削ります
- 硬い素材は天然歯を傷つけてしまう場合があります
- かみ合わせや歯ぎしりが強すぎる方はセラミックが割れてしまう可能性があります
- 自費診療(保険適用外治療)となります
その他の注意事項(リスク・副作用など)
- 担当歯科医師、歯科衛生士又は医院スタッフから受けた説明・注意事項をよくご確認ください
- 医療を提供するに当たり、適切な説明を行い、患者様の十分な理解を得るよう努めております
当サイトの内容、テキスト、画像等の無断転載、複製、複写、盗用を固く禁じます。













