症例詳細
Case detail
歯の高さを出すための親知らず抜歯と歯肉切除
治療症例の内容
- 治療カテゴリ
- 担当医
- 岡田康成(ドクタープロフィール)
- 患者様
- 20代女性
- 治療期間
- 1ヶ月
- 治療回数
- 5-10回
- 治療計画
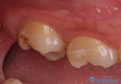
- 親知らず抜歯をご希望で来院されましたが、手前の歯が歯ぐきに覆われていたため抜歯と同時に歯ぐきの除去を行います。
- 費用(概算)
- 親知らず抜歯:保険 ディスタルウェッジ:5,500円費用は治療当時の料金となります
治療について
歯の高さ十分がないと十分なブラッシングができなかったり、被せ物をする際に不利になってしまいます。
そのような時は周りの歯茎を除去することで歯の高さを出すことができる場合があります。
今回は親知らずの抜歯と同時に周りの歯茎の除去を行いました。
外科処置の注意事項(リスク・副作用など)
- 外科手術のため、術後に出血、痛みや腫れ、違和感を伴います
- 口腔内の状態によっては適応できないことがあります
当サイトの内容、テキスト、画像等の無断転載、複製、複写、盗用を固く禁じます。










