症例詳細
Case detail
滑舌が気になる 舌小帯の切除
治療症例の内容
- 診療科目
 
- 治療カテゴリ
 
- 担当医
 - 岡田康成(ドクタープロフィール)
 
- 患者様
 - 30代男性
 
- 治療期間
 - 1ヶ月
 
- 治療回数
 - 1回
 
- 治療計画
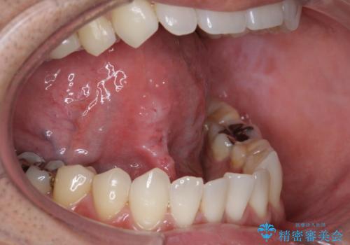
 - 舌を動かしにくいとのことで来院されました。
舌の裏側にある舌小帯という部分が短い状態だったため、舌小帯の切除をすることとなりました。 
- 費用(概算)
 - 舌小帯切除術 33,000円費用は治療当時の料金となります
 
治療について
術後の治りも良く、以前よりも話しやすくなったと大変喜んでいただけました。
外科処置の注意事項(リスク・副作用など)
- 外科手術のため、術後に出血、痛みや腫れ、違和感を伴います
 - 口腔内の状態によっては適応できないことがあります
 
当サイトの内容、テキスト、画像等の無断転載、複製、複写、盗用を固く禁じます。

                      
                                                          





