症例詳細
Case detail
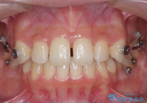
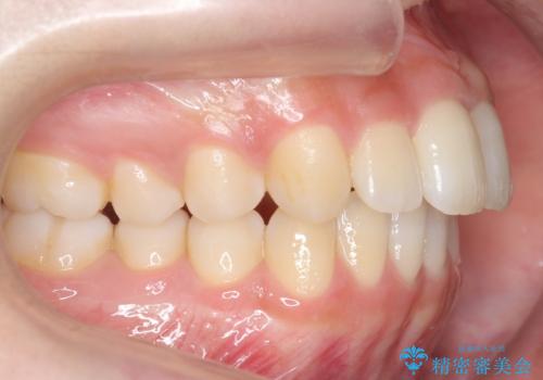
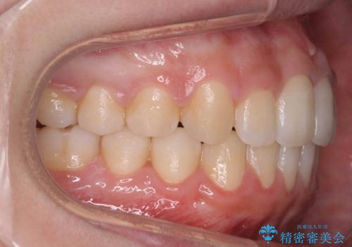
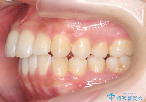
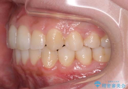
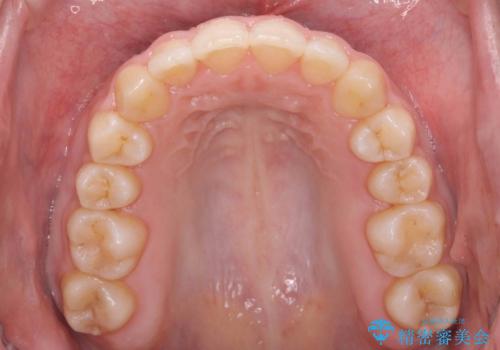
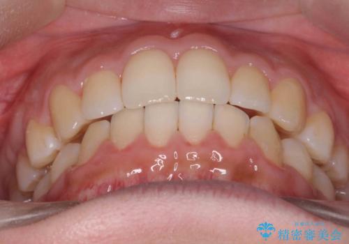
歯を抜かない矯正 出っ歯を抜かずに大きく下げることは可能です。
治療症例の内容
- 診療科目
- 治療カテゴリ
- 担当医
- 井上季実子(ドクタープロフィール)
- 患者様
- 20代女性
- 矯正装置
- ワイヤー矯正
- 治療期間
- 2年11ヶ月
- 治療回数
- 10-30回
- 治療計画
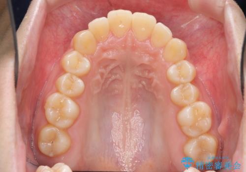
- 出っ歯を主訴に来院。
上の歯を全体に大きく後ろに下げる治療計画を立てました。
後ろに下げるために、親知らずは抜歯しています。
- 費用(概算)
- 110万円費用は治療当時の料金となります
治療について
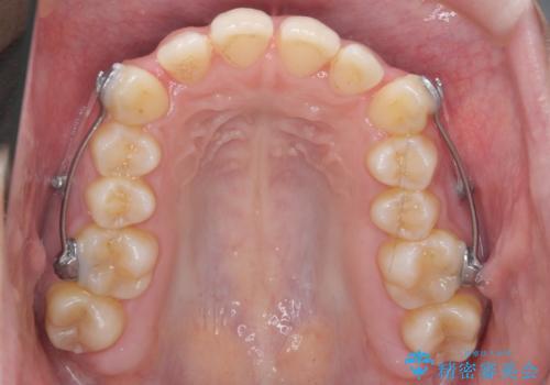
後ろに下げるために、ワイヤー矯正の前にカリエールという装置を使用しました。
ワイヤー矯正の注意事項(リスク・副作用など)
- 治療中は違和感や痛みが起こることがあります
- 症状により、抜歯が必要な場合があります
- 治療中は歯磨きがしにくくなるため、虫歯や歯周病になりやすくなります
- 矯正治療後の保定が不十分だと後戻り(元の位置に戻ろうとする動き)をします
- 自費診療(保険適用外)となります
当サイトの内容、テキスト、画像等の無断転載、複製、複写、盗用を固く禁じます。























