症例詳細
Case detail
銀歯を目立たなくしたい セラミックインレーでの治療
治療症例の内容
- 診療科目
- 治療カテゴリ
- 担当医
- 岡田康成(ドクタープロフィール)
- 患者様
- 30代男性
- 治療期間
- 1ヶ月
- 治療回数
- 2-5回
- 治療計画
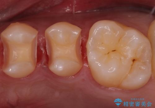
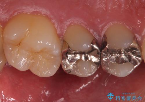
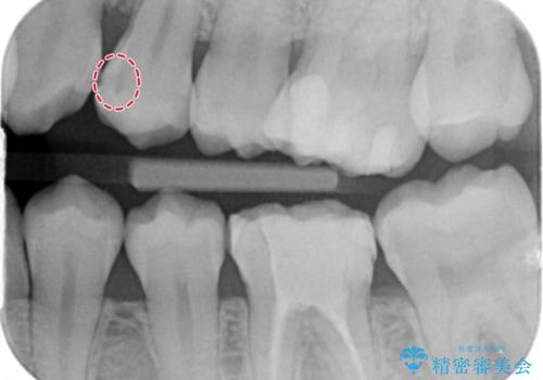
- 外から見える範囲の銀歯のやり替えをご希望で来院されました。
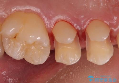
セラミックインレーでの治療となります。
- 費用(概算)
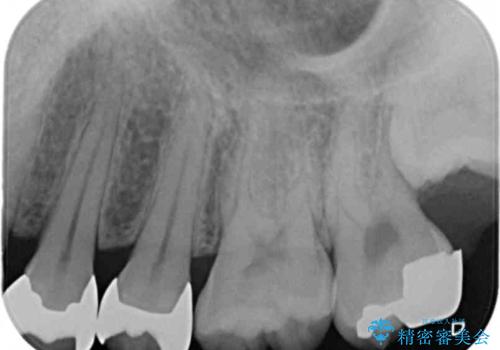
- 左上45 セラミックインレー 77,000円×2本 費用は治療当時の料金となります
治療について
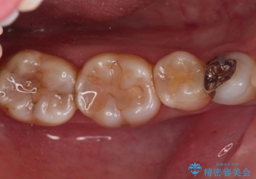
奥歯とはいえ今回のようなケースでは笑った時に銀歯がちらつきます。
白く目立たないセラミックインレーが入ったことで大変喜んでいただけました。
セラミック治療の注意事項(リスク・副作用など)
- 天然歯を削ります
- 硬い素材は天然歯を傷つけてしまう場合があります
- かみ合わせや歯ぎしりが強すぎる方はセラミックが割れてしまう可能性があります
- 自費診療(保険適用外治療)となります
当サイトの内容、テキスト、画像等の無断転載、複製、複写、盗用を固く禁じます。








