症例詳細
Case detail
奥歯の黒ずみが気になる セラミックインレーでの治療
治療症例の内容
- 診療科目
- 治療カテゴリ
- 担当医
- 岡田康成(ドクタープロフィール)
- 患者様
- 20代女性
- 治療期間
- 1ヶ月
- 治療回数
- 2-5回
- 治療計画
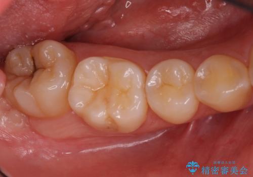
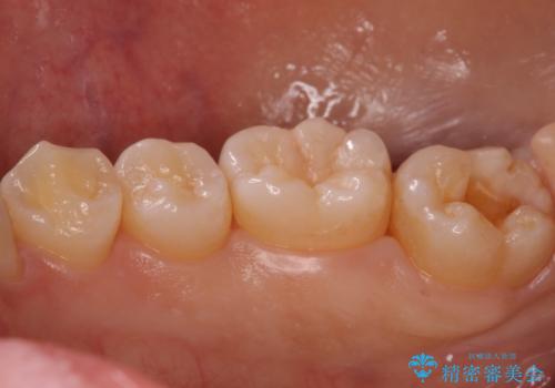
- 奥歯の黒ずみが気になるとのことで来院されました。
樹脂での治療も考えましたが、材料の劣化を避けるためにセラミックインレーでの治療をすることとなりました。
- 費用(概算)
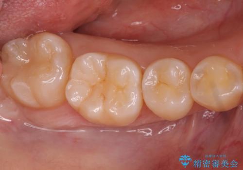
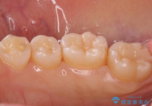
- 右下7 セラミックインレー 77,000円費用は治療当時の料金となります
治療について
セラミックは樹脂が含まれていないため劣化の面では非常に優れた材料です。
セラミック治療の注意事項(リスク・副作用など)
- 天然歯を削ります
- 硬い素材は天然歯を傷つけてしまう場合があります
- かみ合わせや歯ぎしりが強すぎる方はセラミックが割れてしまう可能性があります
- 自費診療(保険適用外治療)となります
当サイトの内容、テキスト、画像等の無断転載、複製、複写、盗用を固く禁じます。








